别名:CAS; p120; BCDS2; CTNND; P120CAS; P120CTN; p120(CAS); p120(CTN)应用:WB,IHC,ICC
反应种属:Human,Mouse
规格:50μl/100μl
| Description |
|---|
| Catenin δ-1 (p120 catenin) has an amino-terminal coiled-coil domain followed by a regulatory domain containing multiple phosphorylation sites and a central Armadillo repeat domain of ten linked 42-amino acid repeats. The carboxy-terminal tail has no known function. Catenin δ-1 fulfills critical roles in the regulation of cell-cell adhesion as it regulates E-cadherin turnover at the cell surface to determine the level of E-cadherin available for cell-cell adhesion. |
| Specification | |
|---|---|
| Aliases | CAS; p120; BCDS2; CTNND; P120CAS; P120CTN; p120(CAS); p120(CTN) |
| Entrez GeneID | 1500 |
| Swissprot | O60716 |
| WB Predicted band size | Calculated MW: 108 kDa; Observed MW: 100 kDa |
| Host/Isotype | Rabbit IgG |
| Storage | Store at 4°C short term. Aliquot and store at -20°C long term. Avoid freeze/thaw cycles. |
| Species Reactivity | Human,Mouse |
| Immunogen | A synthetic phosphopeptide corresponding to residues surrounding Thr916 of human delta 1 Catenin/CAS |
| Formulation | 50mM Tris-Glycine(pH 7.4), 0.15M NaCl, 40% Glycerol, 0.01% Sodium azide and 0.05% BSA |
| Application | |
|---|---|
| WB | 1/500-1/1000 |
| IHC | 1/50-1/100 |
| ICC | 1/50-1/200 |
![]() |
Western blot analysis of Phospho-delta 1 Catenin/CAS (Thr916) in MCF-7, U251, C2C12 lysates using Phospho-delta 1 Catenin (Thr916) antibody. |
![]() |
Immunocytochemistry analysis of delta 1 Catenin/CAS (Phospho-Thr916) (green) in hela using delta 1 Catenin/CAS (Phospho-Thr916) antibody,and DAPI(blue) |
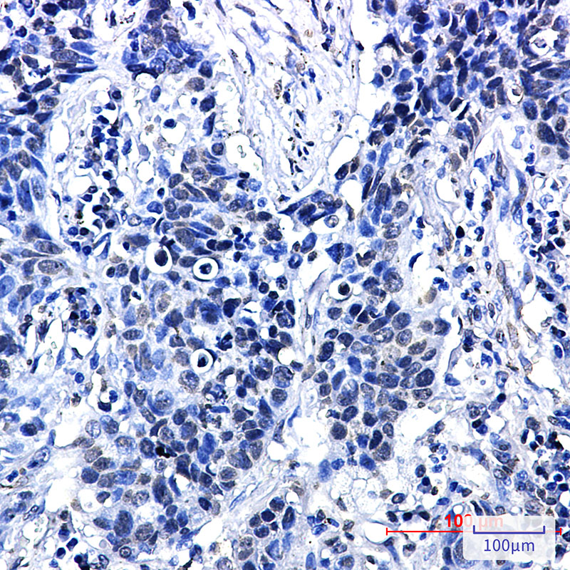
![]() |
Immunohistochemistry analysis of paraffin-embedded Human lung cancer using Phospho-delta 1 Catenin/CAS (Thr916) antibody.High-pressure and temperature Sodium Citrate pH 6.0 was used for antigen retrieval. |
本公司的所有产品仅用于科学研究或者工业应用等非医疗目的,不可用于人类或动物的临床诊断或治疗,非药用,非食用。
暂无评论
本公司的所有产品仅用于科学研究或者工业应用等非医疗目的,不可用于人类或动物的临床诊断或治疗,非药用,非食用。
中文



发表回复