别名:CDH1; CDHE; UVO; Cadherin-1; CAM 120/80; Epithelial cadherin; E-cadherin; Uvomorulin; CD antigen CD324应用:WB,IHC,IP
反应种属:Human,Mouse
规格:50μl/100μl
| Description |
|---|
| CDH1 a single-pass type I membrane protein, and calcium dependent cell adhesion proteins. It is a ligand for integrin alpha-E/beta-7, and it colocalizes with DLG7 at sites of cell-cell contact in intestinal epithelial cells. |
| Specification | |
|---|---|
| Aliases | CDH1; CDHE; UVO; Cadherin-1; CAM 120/80; Epithelial cadherin; E-cadherin; Uvomorulin; CD antigen CD324 |
| Entrez GeneID | 999 |
| Swissprot | P12830 |
| WB Predicted band size | Calculated MW: 97 kDa; Observed MW: 135 kDa |
| Host/Isotype | Rabbit IgG |
| Storage | Store at 4°C short term. Aliquot and store at -20°C long term. Avoid freeze/thaw cycles. |
| Species Reactivity | Human,Mouse |
| Immunogen | A synthetic phosphopeptide corresponding to residues surrounding Ser838/Ser840 of human E Cadherin |
| Formulation | 50mM Tris-Glycine(pH 7.4), 0.15M NaCl, 40% Glycerol, 0.01% Sodium azide and 0.05% BSA |
| Application | |
|---|---|
| IP | 1/20 |
| WB | 1/500-1/1000 |
| IHC | 1/50-1/100 |
![]() |
Western blot analysis of Phospho-E Cadherin (Ser838/Ser840) in 3T3, mouse brain lysates using Phospho-E Cadherin (Ser838/Ser840) antibody. |
![]() |
Western blot analysis of E Cadherin (Phospho-Ser838/Ser840) in HepG2, U2OS, U251, Lncap lysates using E Cadherin (Phospho-Ser838/Ser840) antibody. |
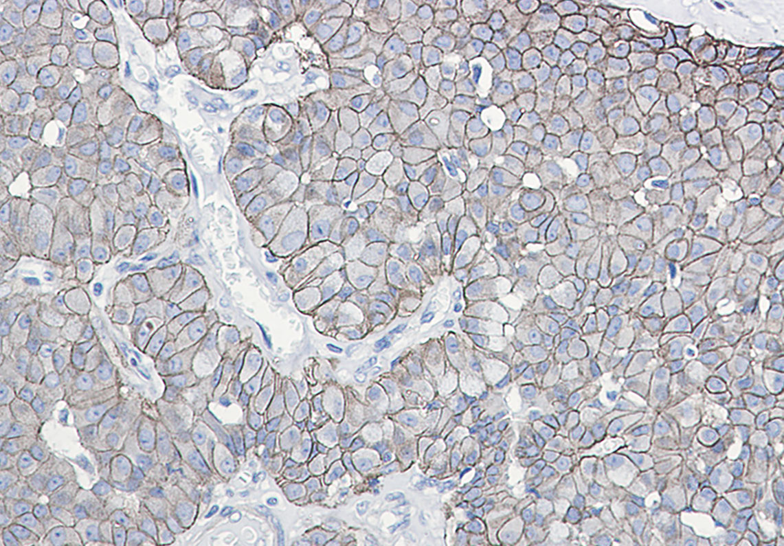
![]() |
Immunohistochemistry analysis of paraffin-embedded Human breast cancer using E Cadherin (Phospho-Ser838/Ser840) antibody. High-pressure and temperature Sodium Citrate pH 6.0 was used for antigen retrieval. |
本公司的所有产品仅用于科学研究或者工业应用等非医疗目的,不可用于人类或动物的临床诊断或治疗,非药用,非食用。
暂无评论
本公司的所有产品仅用于科学研究或者工业应用等非医疗目的,不可用于人类或动物的临床诊断或治疗,非药用,非食用。
中文



发表回复