别名:EIF-4B; PRO1843应用:WB,IHC
反应种属:Human,Mouse,Rat
规格:50μl/100μl
| Description |
|---|
| The eukaryotic translation initiation factor 4B (eIF4B) plays a critical role in recruiting the 40S ribosomal subunit to the mRNA.It functions in close association with eIF4F and eIF4A. It binds near the 5'-terminal cap of mRNA in the presence of eIF4F and ATP. It promotes the ATPase activity and the ATP-dependent RNA unwinding activity of both eIF4A and eIF4F |
| Specification | |
|---|---|
| Aliases | EIF-4B; PRO1843 |
| Entrez GeneID | 1975 |
| Swissprot | P23588 |
| WB Predicted band size | Calculated MW: 69 kDa; Observed MW: 80 kDa |
| Host/Isotype | Rabbit IgG |
| Storage | Store at 4°C short term. Aliquot and store at -20°C long term. Avoid freeze/thaw cycles. |
| Species Reactivity | Human,Mouse,Rat |
| Immunogen | A synthetic phosphopeptide corresponding to residues surrounding Ser406 of human eIF4B |
| Formulation | 50mM Tris-Glycine(pH 7.4), 0.15M NaCl, 40% Glycerol, 0.01% Sodium azide and 0.05% BSA |
| Application | |
|---|---|
| WB | 1/500-1/1000 |
| IHC | 1/50-1/100 |
![]() |
Western blot analysis of Phospho-eIF4B (Ser406) in mouse heart lysates using Phospho-eIF4B (Ser406) antibody. |
![]() |
Western blot analysis of eIF4B (Phospho-Ser406) in A549, HL-60, U2OS, C6 lysates using eIF4B (Phospho-Ser406) antibody. |
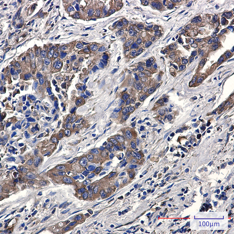
![]() |
Immunohistochemistry analysis of paraffin-embedded Human lung cancer using eIF4B (Phospho-Ser406) antibody. High-pressure and temperature Sodium Citrate pH 6.0 was used for antigen retrieval. |
本公司的所有产品仅用于科学研究或者工业应用等非医疗目的,不可用于人类或动物的临床诊断或治疗,非药用,非食用。
暂无评论
本公司的所有产品仅用于科学研究或者工业应用等非医疗目的,不可用于人类或动物的临床诊断或治疗,非药用,非食用。
中文



发表回复