别名:ERBB4; HER4; Receptor tyrosine-protein kinase erbB-4; Proto-oncogene-like protein c-ErbB-4; Tyrosine kinase-type cell surface receptor HER4; p180erbB4应用:WB,IHC,IP
反应种属:Human
规格:50μl/100μl
| Description |
|---|
| The HER4/ERBB4 gene is a member of the type I receptor tyrosine kinase subfamily that includes EGFR (MIM 131550), ERBB2 (MIM 164870), and ERBB3 (MIM 190151). It encodes a receptor for NDF/heregulin (MIM 142445). |
| Specification | |
|---|---|
| Aliases | ERBB4; HER4; Receptor tyrosine-protein kinase erbB-4; Proto-oncogene-like protein c-ErbB-4; Tyrosine kinase-type cell surface receptor HER4; p180erbB4 |
| Entrez GeneID | 2066 |
| Swissprot | Q15303 |
| WB Predicted band size | Calculated MW: 147 kDa; Observed MW: 180 kDa |
| Host/Isotype | Rabbit IgG |
| Storage | Store at 4°C short term. Aliquot and store at -20°C long term. Avoid freeze/thaw cycles. |
| Species Reactivity | Human |
| Immunogen | A synthetic phosphopeptide corresponding to residues surrounding Tyr1162 of human ErbB 4 |
| Formulation | 50mM Tris-Glycine(pH 7.4), 0.15M NaCl, 40% Glycerol, 0.01% Sodium azide and 0.05% BSA |
| Application | |
|---|---|
| IP | 1/20 |
| WB | 1/500-1/1000 |
| IHC | 1/50-1/100 |
![]() |
Western blot analysis of Phospho-ErbB 4 (Tyr1162) in Hela, A549 lysates using Phospho-ErbB 4 (Tyr1162) antibody. |
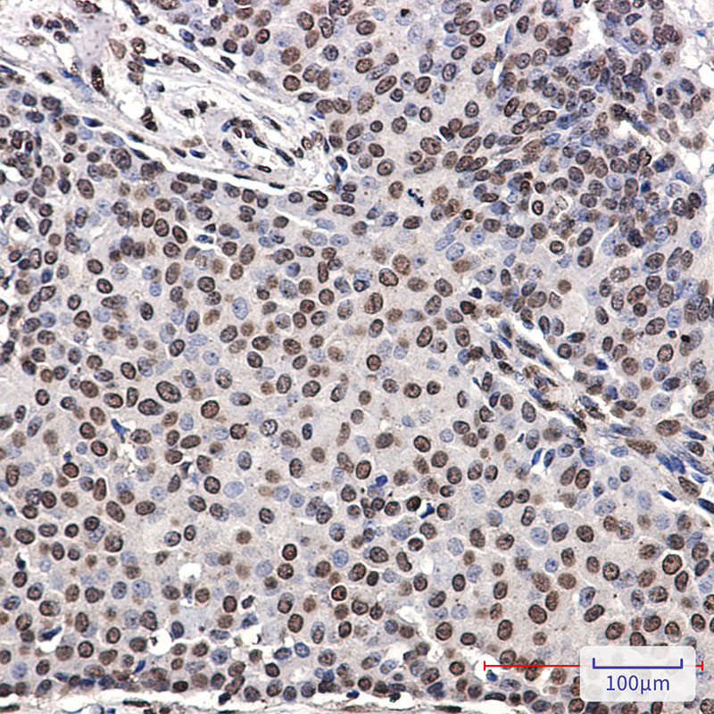
![]() |
Immunohistochemistry analysis of paraffin-embedded Human breast cancer using ErbB 4 (Phospho-Tyr1162) antibody.High-pressure and temperature Sodium Citrate pH 6.0 was used for antigen retrieval. |
本公司的所有产品仅用于科学研究或者工业应用等非医疗目的,不可用于人类或动物的临床诊断或治疗,非药用,非食用。
暂无评论
本公司的所有产品仅用于科学研究或者工业应用等非医疗目的,不可用于人类或动物的临床诊断或治疗,非药用,非食用。
中文


发表回复