别名:GATA3; Trans-acting T-cell-specific transcription factor GATA-3; GATA-binding factor 3应用:WB,IHC,IP
反应种属:Human
规格:50μl/100μl
| Description |
|---|
| Transcriptional activator which binds to the enhancer of the T-cell receptor alpha and delta genes. Binds to the consensus sequence 5′-AGATAG-3′. Required for the T-helper 2 (Th2) differentiation process following immune and inflammatory responses. |
| Specification | |
|---|---|
| Aliases | GATA3; Trans-acting T-cell-specific transcription factor GATA-3; GATA-binding factor 3 |
| Entrez GeneID | 2625 |
| Swissprot | P23771 |
| WB Predicted band size | Calculated MW: 48 kDa; Observed MW: 48 kDa |
| Host/Isotype | Rabbit IgG |
| Storage | Store at 4°C short term. Aliquot and store at -20°C long term. Avoid freeze/thaw cycles. |
| Species Reactivity | Human |
| Immunogen | A synthetic phosphopeptide corresponding to residues surrounding Ser308 of human GATA3 |
| Formulation | 50mM Tris-Glycine(pH 7.4), 0.15M NaCl, 40% Glycerol, 0.01% Sodium azide and 0.05% BSA |
| Application | |
|---|---|
| IP | 1/20 |
| WB | 1/500-1/1000 |
| IHC | 1/50-1/100 |
![]() |
Western blot analysis of Phospho-GATA3 (Ser308) in A549, MCF-7, U251 lysates using Phospho-GATA3 (Ser308) antibody. |
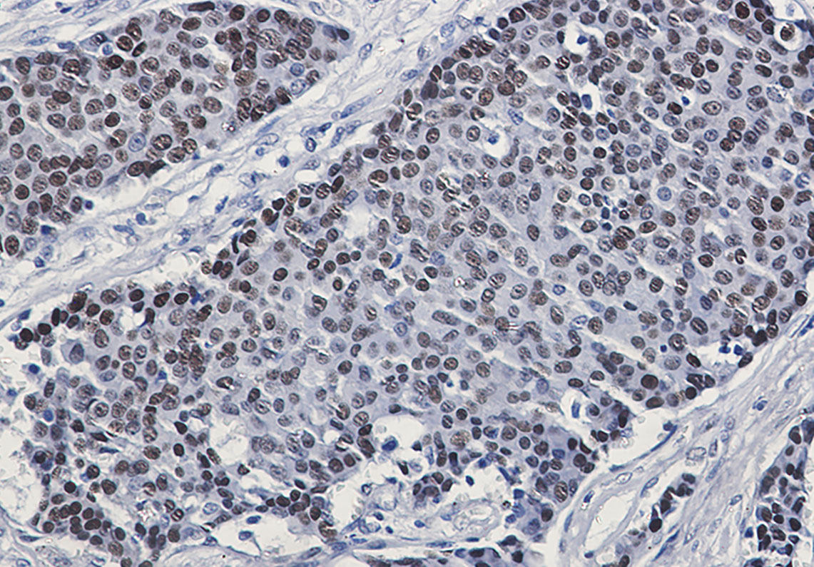
![]() |
Immunohistochemistry analysis of paraffin-embedded Human breast cancer using GATA3 (Phospho-Ser308) antibody.High-pressure and temperature Sodium Citrate pH 6.0 was used for antigen retrieval. |
本公司的所有产品仅用于科学研究或者工业应用等非医疗目的,不可用于人类或动物的临床诊断或治疗,非药用,非食用。
暂无评论
本公司的所有产品仅用于科学研究或者工业应用等非医疗目的,不可用于人类或动物的临床诊断或治疗,非药用,非食用。
中文


发表回复