别名:H3 histone; family 3A; H3 histone; family 3B (H3.3B); H3.3A; H3.3B; H33; H3F3; H3F3A; H3F3B; Histone H3.3应用:WB,IHC,ICC,IP
反应种属:Human,Mouse,Rat
规格:50μl/100μl
| Description |
|---|
| H3 Core component of nucleosome. Nucleosomes wrap and compact DNA into chromatin, limiting DNA accessibility to the cellular machineries which require DNA as a template. Histones thereby play a central role in transcription regulation, DNA repair, DNA replication and chromosomal stability. |
| Specification | |
|---|---|
| Aliases | H3 histone; family 3A; H3 histone; family 3B (H3.3B); H3.3A; H3.3B; H33; H3F3; H3F3A; H3F3B; Histone H3.3 |
| Entrez GeneID | 8350 |
| Swissprot | P68431 |
| WB Predicted band size | Calculated MW: 15 kDa; Observed MW: 15 kDa |
| Host/Isotype | Rabbit IgG |
| Storage | Store at 4°C short term. Aliquot and store at -20°C long term. Avoid freeze/thaw cycles. |
| Species Reactivity | Human,Mouse,Rat |
| Immunogen | A synthetic phosphopeptide corresponding to residues surrounding Ser10/Thr11 of human Histone H3 |
| Formulation | 50mM Tris-Glycine(pH 7.4), 0.15M NaCl, 40% Glycerol, 0.01% Sodium azide and 0.05% BSA |
| Application | |
|---|---|
| IP | 1/20 |
| WB | 1/500-1/1000 |
| IHC | 1/50-1/100 |
| ICC | 1/50-1/200 |
![]() |
Western blot analysis of Phospho-Histone H3 (Ser10/Thr11) in 3T3 lysates using Phospho-Histone H3 (Ser10/Thr11)antibody. |
![]() |
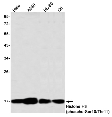
Western blot analysis of Histone H3 (Phospho-Ser10/Thr11) in Hela, A549, HL-60, C6 lysates using Histone H3 (Phospho-Ser10/Thr11) antibody |
![]() |
Immunocytochemistry analysis of Phospho-Histone H3 (Ser10/Thr11) (green) in Hela using Phospho-Histone H3 (Ser10/Thr11) antibody,and DAPI(blue). |
![]() |
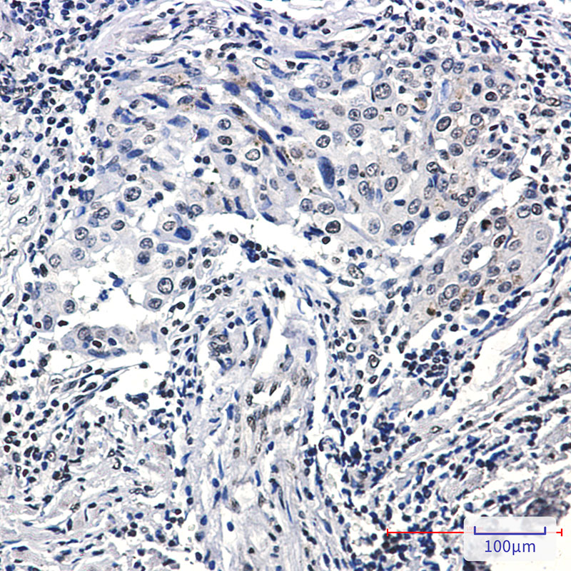
Immunohistochemistry analysis of paraffin-embedded Human lung cancer using Histone H3 (Phospho-Ser10/Thr11) antibody.High-pressure and temperature Sodium Citrate pH 6.0 was used for antigen retrieval. |
本公司的所有产品仅用于科学研究或者工业应用等非医疗目的,不可用于人类或动物的临床诊断或治疗,非药用,非食用。
暂无评论
本公司的所有产品仅用于科学研究或者工业应用等非医疗目的,不可用于人类或动物的临床诊断或治疗,非药用,非食用。
中文




发表回复