别名:PAK3; OPHN3; Serine/threonine-protein kinase PAK 3; Beta-PAK; Oligophrenin-3; p21-activated kinase 3; PAK-3应用:WB,IHC,ICC,IP
反应种属:Human,Mouse,Rat
规格:50μl/100μl
| Description |
|---|
| PAK proteins are critical effectors that link Rho GTPases to cytoskeleton reorganization and nuclear signaling. PAK proteins serve as targets for the small GTP binding proteins Cdc42 and RAC and have been implicated in a wide range of biological activities. PAK3 forms an activated complex with GTP-bound RAS-like (P21), CDC2 and RAC1 proteins which then catalyzes a variety of targets. |
| Specification | |
|---|---|
| Aliases | PAK3; OPHN3; Serine/threonine-protein kinase PAK 3; Beta-PAK; Oligophrenin-3; p21-activated kinase 3; PAK-3 |
| Entrez GeneID | 5063 |
| Swissprot | O75914 |
| WB Predicted band size | Calculated MW: 62 kDa; Observed MW: 62 kDa |
| Host/Isotype | Rabbit IgG |
| Storage | Store at 4°C short term. Aliquot and store at -20°C long term. Avoid freeze/thaw cycles. |
| Species Reactivity | Human,Mouse,Rat |
| Immunogen | A synthetic phosphopeptide corresponding to residues surrounding Ser144 of human PAK1 |
| Formulation | 50mM Tris-Glycine(pH 7.4), 0.15M NaCl, 40% Glycerol, 0.01% Sodium azide and 0.05% BSA |
| Application | |
|---|---|
| IP | 1/20 |
| WB | 1/500-1/1000 |
| IHC | 1/50-1/100 |
| ICC | 1/50-1/200 |
![]() |
Western blot analysis of PAK1 (Phospho-Ser144)/PAK2 (Phospho-Ser141)/PAK3 (Phospho-Ser154) in C6, 3T3, Hela lysates using Phospho-PAK1/2/3 (Ser144/Ser141/Ser154) antibody. |
![]() |
Immunocytochemistry analysis of PAK1 (Phospho-Ser144)/PAK2 (Phospho-Ser141)/PAK3 (Phospho-Ser154)(green) in Hela using PAK1 (Phospho-Ser144)/PAK2 (Phospho-Ser141)/PAK3 (Phospho-Ser154) antibody,and DAPI(blue) |
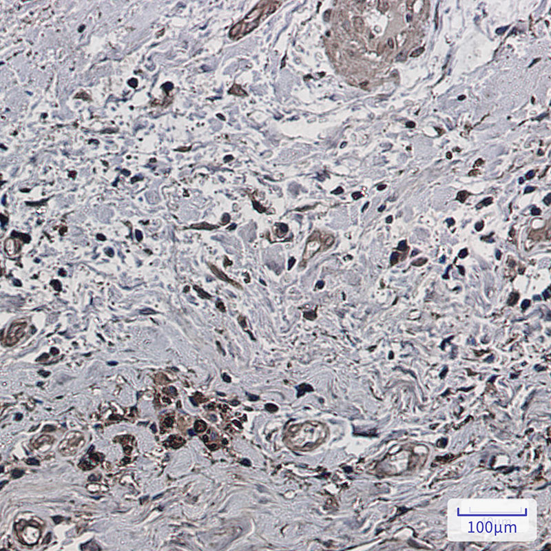
![]() |
Immunohistochemistry analysis of paraffin-embedded Human breast cancer using Phospho-PAK1(Ser144)/2(Ser141)/3 (Ser154) antibody. High-pressure and temperature Sodium Citrate pH 6.0 was used for antigen retrieval. |
本公司的所有产品仅用于科学研究或者工业应用等非医疗目的,不可用于人类或动物的临床诊断或治疗,非药用,非食用。
暂无评论
本公司的所有产品仅用于科学研究或者工业应用等非医疗目的,不可用于人类或动物的临床诊断或治疗,非药用,非食用。
中文



发表回复