别名:PRKCG; PKCG; Protein kinase C gamma type; PKC-gamma应用:WB,IHC
反应种属:Human,Mouse
规格:50μl/100μl
| Description |
|---|
| This is a calcium-activated, phospholipid-dependent, serine- and threonine-specific enzyme. |
| Specification | |
|---|---|
| Aliases | PRKCG; PKCG; Protein kinase C gamma type; PKC-gamma |
| Entrez GeneID | 5582 |
| Swissprot | P05129 |
| WB Predicted band size | Calculated MW: 78 kDa; Observed MW: 78 kDa |
| Host/Isotype | Rabbit IgG |
| Storage | Store at 4°C short term. Aliquot and store at -20°C long term. Avoid freeze/thaw cycles. |
| Species Reactivity | Human,Mouse |
| Immunogen | A synthetic phosphopeptide corresponding to residues surrounding Thr410 of human PKC zeta |
| Formulation | 50mM Tris-Glycine(pH 7.4), 0.15M NaCl, 40% Glycerol, 0.01% Sodium azide and 0.05% BSA |
| Application | |
|---|---|
| WB | 1/500-1/1000 |
| IHC | 1/50-1/100 |
![]() |
Western blot analysis of Phospho-PKC zeta (Thr410)/PKC lambda (Thr412) in mouse brain lysates using Phospho-PKC zeta/lambda (Thr410/Thr412) antibody. |
![]() |
Western blot analysis of PKC zeta (Phospho-Thr410)/PKC lambda (Phospho-Thr412) in Hela, A549, HL-60 lysates using PKC zeta (Phospho-Thr410)/PKC lambda (Phospho-Thr412) antibody. |
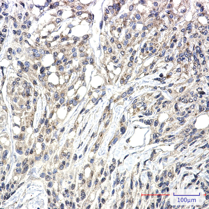
![]() |
Immunohistochemistry analysis of paraffin-embedded Human Brain using PKC zeta (Phospho-Thr410)/PKC lambda (Phospho-Thr412) antibody. High-pressure and temperature Sodium Citrate pH 6.0 was used for antigen retrieval. |
本公司的所有产品仅用于科学研究或者工业应用等非医疗目的,不可用于人类或动物的临床诊断或治疗,非药用,非食用。
暂无评论
本公司的所有产品仅用于科学研究或者工业应用等非医疗目的,不可用于人类或动物的临床诊断或治疗,非药用,非食用。
中文



发表回复