别名:RB1; Retinoblastoma-associated protein; p105-Rb; pRb; Rb; pp110应用:WB,IHC
反应种属:Human,Rat
规格:50μl/100μl
| Description |
|---|
| Cell cycle-dependent phosphorylation by a CDK inhibits Rb target binding and allows cell cycle progression. Rb inactivation and subsequent cell cycle progression likely requires an initial phosphorylation by cyclin D-CDK4/6 followed by cyclin E-CDK2 phosphorylation. Specificity of different CDK/cyclin complexes has been observed in vitro and cyclin D1 is required for Ser780 phosphorylation in vivo. |
| Specification | |
|---|---|
| Aliases | RB1; Retinoblastoma-associated protein; p105-Rb; pRb; Rb; pp110 |
| Entrez GeneID | 5925 |
| Swissprot | P06400 |
| WB Predicted band size | Calculated MW: 106 kDa; Observed MW: 110 kDa |
| Host/Isotype | Rabbit IgG |
| Storage | Store at 4°C short term. Aliquot and store at -20°C long term. Avoid freeze/thaw cycles. |
| Species Reactivity | Human,Rat |
| Immunogen | A synthetic phosphopeptide corresponding to residues surrounding Ser780 of human Rb |
| Formulation | 50mM Tris-Glycine(pH 7.4), 0.15M NaCl, 40% Glycerol, 0.01% Sodium azide and 0.05% BSA |
| Application | |
|---|---|
| WB | 1/500-1/1000 |
| IHC | 1/50-1/100 |
![]() |
Western blot analysis of Rb (Phospho-Ser780) in Hela, A549, HL-60, U2OS, C6 lysates using Phospho-Rb (Ser780) antibody. |
![]() |
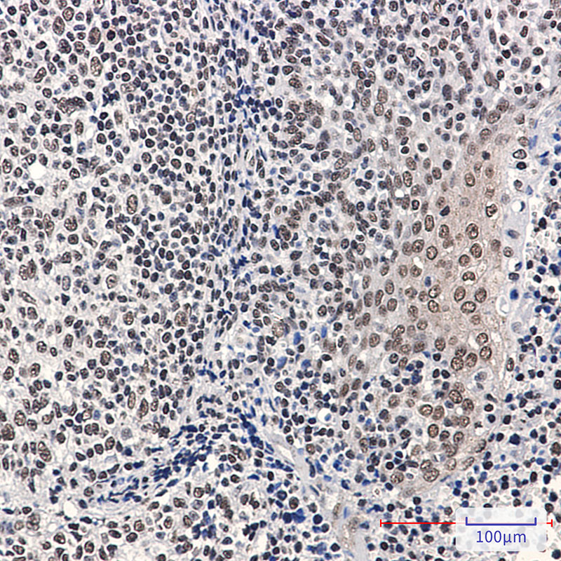
Immunohistochemistry analysis of paraffin-embedded Human tonsil using Rb (Phospho-Ser780) antibody.High-pressure and temperature Sodium Citrate pH 6.0 was used for antigen retrieval. |
本公司的所有产品仅用于科学研究或者工业应用等非医疗目的,不可用于人类或动物的临床诊断或治疗,非药用,非食用。
暂无评论
本公司的所有产品仅用于科学研究或者工业应用等非医疗目的,不可用于人类或动物的临床诊断或治疗,非药用,非食用。
中文


发表回复