别名:Rb2; P130应用:WB,IHC,ICC
反应种属:Human
规格:50μl/100μl
| Description |
|---|
| Key regulator of entry into cell division. Directly involved in heterochromatin formation by maintaining overall chromatin structure and, in particular, that of constitutive heterochromatin by stabilizing histone methylation. Recruits and targets histone methyltransferases KMT5B and KMT5C, leading to epigenetic transcriptional repression. Controls histone H4 ‘Lys-20’ trimethylation. Probably acts as a transcription repressor by recruiting chromatin-modifying enzymes to promoters. Potent inhibitor of E2F-mediated trans-activation, associates preferentially with E2F5. Binds to cyclins A and E. Binds to and may be involved in the transforming capacity of the adenovirus E1A protein. May act as a tumor suppressor. |
| Specification | |
|---|---|
| Aliases | Rb2; P130 |
| Entrez GeneID | 5934 |
| Swissprot | Q08999 |
| WB Predicted band size | Calculated MW: 128 kDa; Observed MW: 128 kDa |
| Host/Isotype | Rabbit IgG |
| Storage | Store at 4°C short term. Aliquot and store at -20°C long term. Avoid freeze/thaw cycles. |
| Species Reactivity | Human |
| Immunogen | A synthetic phosphopeptide corresponding to residues surrounding Ser952 of human Rb2 p130 |
| Formulation | 50mM Tris-Glycine(pH 7.4), 0.15M NaCl, 40% Glycerol, 0.01% Sodium azide and 0.05% BSA |
| Application | |
|---|---|
| WB | 1/500-1/1000 |
| IHC | 1/50-1/100 |
| ICC | 1/50-1/200 |
![]() |
Western blot analysis of Rb2 p130 (Phospho-Ser952) in K562, Hela lysates using Phospho-Rb2 p130 (Ser952) antibody. |
![]() |
Immunocytochemistry analysis of Rb2 p130 (Phospho-Ser952)(green) in Hela using Rb2 p130 (Phospho-Ser952) antibody,and DAPI(blue) |
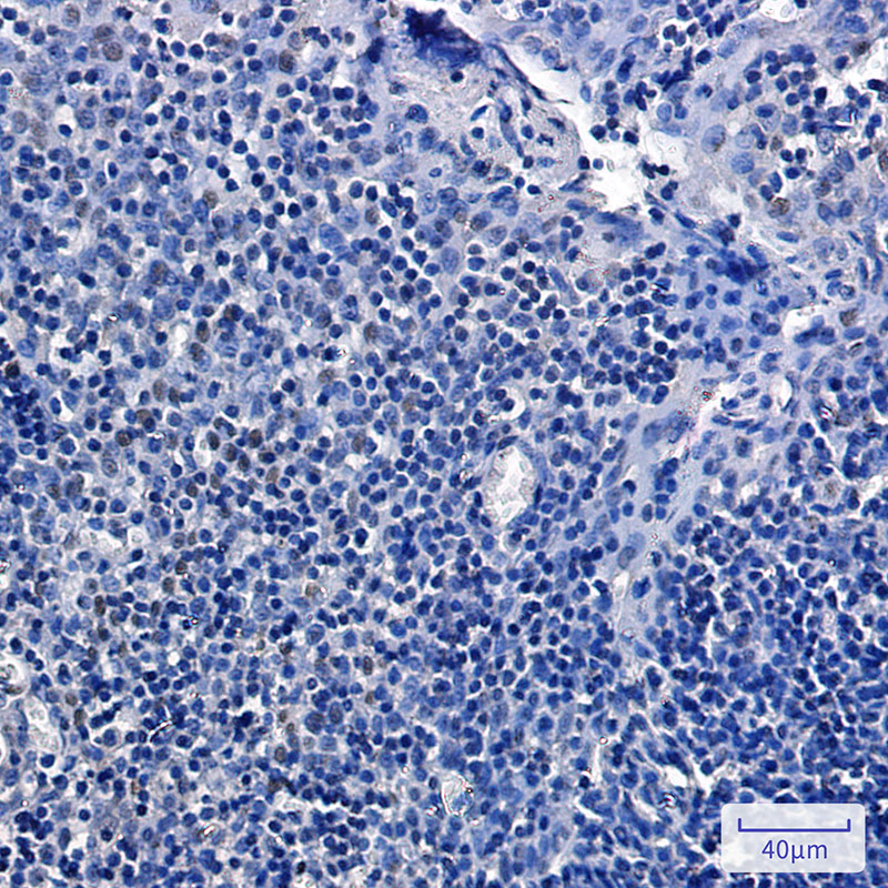
![]() |
Immunohistochemistry analysis of paraffin-embedded Human tonsil using Rb2 p130 (Phospho-Ser952) antibody. High-pressure and temperature Sodium Citrate pH 6.0 was used for antigen retrieval. |
本公司的所有产品仅用于科学研究或者工业应用等非医疗目的,不可用于人类或动物的临床诊断或治疗,非药用,非食用。
暂无评论
本公司的所有产品仅用于科学研究或者工业应用等非医疗目的,不可用于人类或动物的临床诊断或治疗,非药用,非食用。
中文



发表回复