别名:SYN1; Synapsin-1; Brain protein 4.1; Synapsin I应用:WB,IHC
反应种属:Human,Rat
规格:50μl/100μl
| Description |
|---|
| This gene is a member of the synapsin gene family. Synapsins encode neuronal phosphoproteins which associate with the cytoplasmic surface of synaptic vesicles. Family members are characterized by common protein domains, and they are implicated in synaptogenesis and the modulation of neurotransmitter release, suggesting a potential role in several neuropsychiatric diseases. |
| Specification | |
|---|---|
| Aliases | SYN1; Synapsin-1; Brain protein 4.1; Synapsin I |
| Entrez GeneID | 6853 |
| Swissprot | P17600 |
| WB Predicted band size | Calculated MW: 74 kDa; Observed MW: 77 kDa |
| Host/Isotype | Rabbit IgG |
| Storage | Store at 4°C short term. Aliquot and store at -20°C long term. Avoid freeze/thaw cycles. |
| Species Reactivity | Human,Rat |
| Immunogen | A synthetic phosphopeptide corresponding to residues surrounding Ser9 of human Synapsin I |
| Formulation | 50mM Tris-Glycine(pH 7.4), 0.15M NaCl, 40% Glycerol, 0.01% Sodium azide and 0.05% BSA |
| Application | |
|---|---|
| WB | 1/500-1/1000 |
| IHC | 1/50-1/100 |
![]() |
Western blot analysis of Phospho-Synapsin I (Ser9) in rat Brain lysates using Phospho-Synapsin I (Ser9) antibody. |
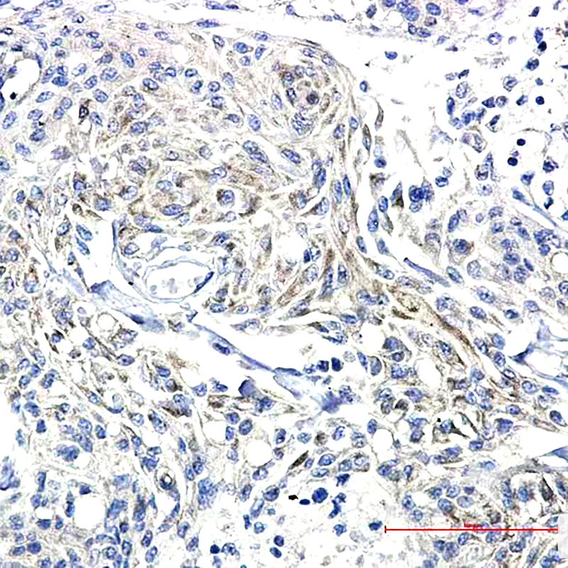
![]() |
Immunohistochemistry analysis of paraffin-embedded Human Brain using Synapsin I (Phospho- S9) antibody.High-pressure and temperature Sodium Citrate pH 6.0 was used for antigen retrieval. |
本公司的所有产品仅用于科学研究或者工业应用等非医疗目的,不可用于人类或动物的临床诊断或治疗,非药用,非食用。
暂无评论
本公司的所有产品仅用于科学研究或者工业应用等非医疗目的,不可用于人类或动物的临床诊断或治疗,非药用,非食用。
中文


发表回复