别名:Ras-related protein Rab-5C; RABL; L1880; RAB5L; RAB5CL应用:WB,IHC,ICC
反应种属:Human,Mouse,Rat
规格:50μl/100μl
| Description |
|---|
| Protein transport. |
| Specification | |
|---|---|
| Aliases | Ras-related protein Rab-5C; RABL; L1880; RAB5L; RAB5CL |
| Entrez GeneID | 5878 |
| Swissprot | P51148 |
| WB Predicted band size | Calculated MW: 23 kDa; Observed MW: 23 kDa |
| Host/Isotype | Rabbit IgG |
| Storage | Store at 4°C short term. Aliquot and store at -20°C long term. Avoid freeze/thaw cycles. |
| Species Reactivity | Human,Mouse,Rat |
| Immunogen | Recombinant protein of human RAB5C |
| Formulation | 50mM Tris-Glycine(pH 7.4), 0.15M NaCl, 40% Glycerol, 0.01% Sodium azide and 0.05% BSA |
| Application | |
|---|---|
| WB | 1/500-1/1000 |
| IHC | 1/50-1/100 |
| ICC | 1/50-1/200 |
![]() |
Western blot analysis of RAB5C in K562, C6, 3T3, Hela lysates using RAB5C antibody. |
![]() |
Immunocytochemistry analysis of Rab5C (green) in A549 using Rab5C antibody,and DAPI(blue). |
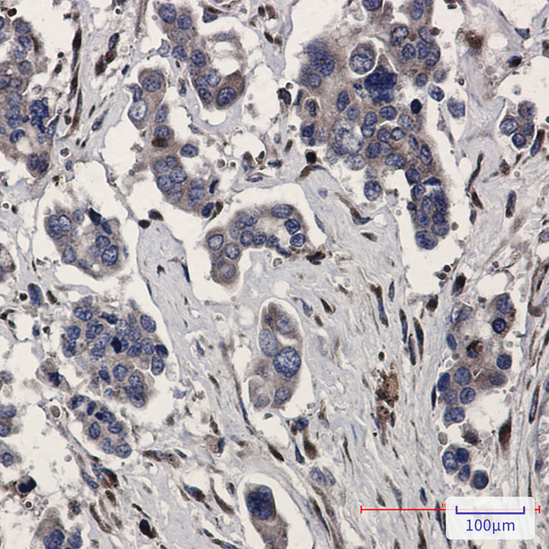
![]() |
Immunohistochemistry analysis of paraffin-embedded Human Cholangiocarcinoma using RAB5C antibody. High-pressure and temperature Sodium Citrate pH 6.0 was used for antigen retrieval. |
本公司的所有产品仅用于科学研究或者工业应用等非医疗目的,不可用于人类或动物的临床诊断或治疗,非药用,非食用。
暂无评论
本公司的所有产品仅用于科学研究或者工业应用等非医疗目的,不可用于人类或动物的临床诊断或治疗,非药用,非食用。
中文



发表回复