别名:SOX9; Transcription factor SOX-9应用:WB,IHC,IP
反应种属:Human,Mouse
规格:50μl/100μl
| Description |
|---|
| Regulates several important processes during embryonic development including chondrogenesis, during which it contributes to skeletal formation and digit specification (2,3). Sox9 also coordinates with steroidogenic factor-1 to direct Sertoli cell-specific expression of anti-Mullerian hormone during embryogenesis, thereby contributing to male sex determination. |
| Specification | |
|---|---|
| Aliases | SOX9; Transcription factor SOX-9 |
| Entrez GeneID | 6662 |
| Swissprot | P48436 |
| WB Predicted band size | Calculated MW: 56 kDa; Observed MW: 70 kDa |
| Host/Isotype | Rabbit IgG |
| Storage | Store at 4°C short term. Aliquot and store at -20°C long term. Avoid freeze/thaw cycles. |
| Species Reactivity | Human,Mouse |
| Immunogen | Recombinant protein of human SOX9 |
| Formulation | 50mM Tris-Glycine(pH 7.4), 0.15M NaCl, 40% Glycerol, 0.01% Sodium azide and 0.05% BSA |
| Application | |
|---|---|
| IP | 1/20 |
| WB | 1/500-1/1000 |
| IHC | 1/50-1/100 |
![]() |
Western blot analysis of SOX9 in 3T3, Hela lysates using SOX9 antibody. |
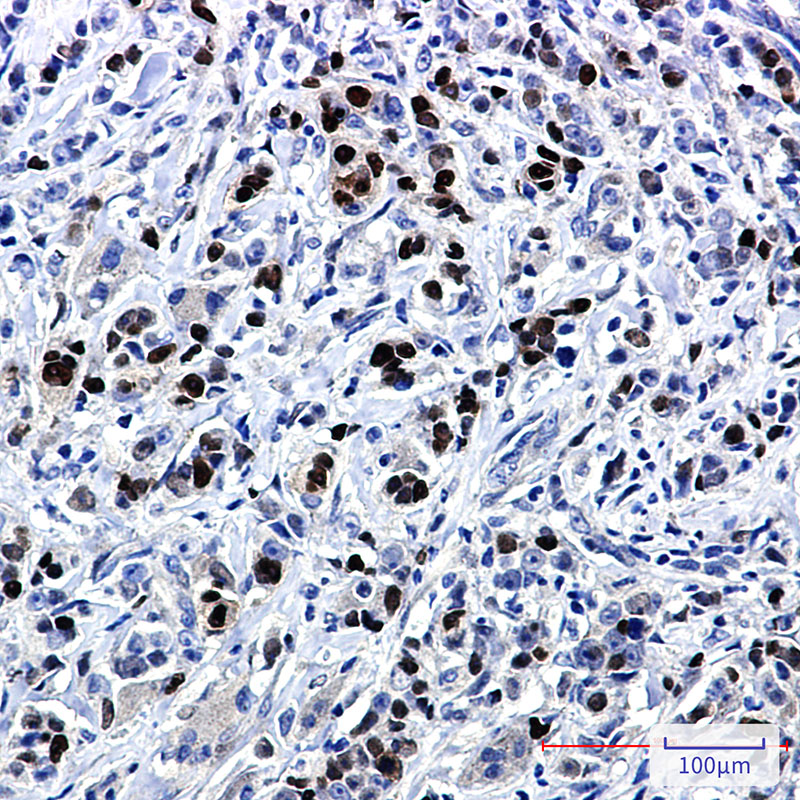
![]() |
Immunohistochemistry analysis of paraffin-embedded Human breast cancer using SOX9 antibody.High-pressure and temperature Sodium Citrate pH 6.0 was used for antigen retrieval. |
本公司的所有产品仅用于科学研究或者工业应用等非医疗目的,不可用于人类或动物的临床诊断或治疗,非药用,非食用。
暂无评论
本公司的所有产品仅用于科学研究或者工业应用等非医疗目的,不可用于人类或动物的临床诊断或治疗,非药用,非食用。
中文


发表回复