别名:TOMM20; KIAA0016; Mitochondrial import receptor subunit TOM20 homolog; Mitochondrial 20 kDa outer membrane protein; Outer mitochondrial membrane receptor Tom20应用:WB,IHC,ICC
反应种属:Human,Hamster
规格:50μl/100μl
| Description |
|---|
| Central component of the receptor complex responsible for the recognition and translocation of cytosolically synthesized mitochondrial preproteins. Together with TOM22 functions as the transit peptide receptor at the surface of the mitochondrion outer membrane and facilitates the movement of preproteins into the TOM40 translocation pore. |
| Specification | |
|---|---|
| Aliases | TOMM20; KIAA0016; Mitochondrial import receptor subunit TOM20 homolog; Mitochondrial 20 kDa outer membrane protein; Outer mitochondrial membrane receptor Tom20 |
| Entrez GeneID | 9804 |
| Swissprot | Q15388 |
| WB Predicted band size | Calculated MW: 16 kDa; Observed MW: 16 kDa |
| Host/Isotype | Rabbit IgG |
| Storage | Store at 4°C short term. Aliquot and store at -20°C long term. Avoid freeze/thaw cycles. |
| Species Reactivity | Human,Hamster |
| Immunogen | Recombinant protein of human TOMM20 |
| Formulation | 50mM Tris-Glycine(pH 7.4), 0.15M NaCl, 40% Glycerol, 0.01% Sodium azide and 0.05% BSA |
| Application | |
|---|---|
| WB | 1/500-1/1000 |
| IHC | 1/50-1/100 |
| ICC | 1/50-1/200 |
![]() |
Western blot analysis of TOMM20 in Hela, CHO-K1 lysates using TOMM20 antibody. |
![]() |
Immunocytochemistry analysis of TOMM2 (green) in Hela using TOMM20 antibody,and DAPI(blue) |
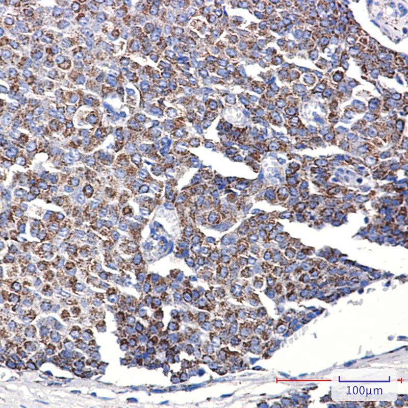
![]() |
Immunohistochemistry analysis of paraffin-embedded Human breast cancer using TOMM20 antibody.High-pressure and temperature Sodium Citrate pH 6.0 was used for antigen retrieval. |
本公司的所有产品仅用于科学研究或者工业应用等非医疗目的,不可用于人类或动物的临床诊断或治疗,非药用,非食用。
暂无评论
本公司的所有产品仅用于科学研究或者工业应用等非医疗目的,不可用于人类或动物的临床诊断或治疗,非药用,非食用。
中文



发表回复