别名:TFEB; BHLHE35; Transcription factor EB; Class E basic helix-loop-helix protein 35; bHLHe35应用:WB,IHC,ICC,IP
反应种属:Human
规格:50μl/100μl
| Description |
|---|
| Transcription factor that acts as a master regulator of lysosomal biogenesis, autophagy, lysosomal exocytosis, lipid catabolism, energy metabolism and immune response (PubMed:21617040, PubMed:22576015, PubMed:22343943, PubMed:22692423, PubMed:30120233, PubMed:31672913) |
| Specification | |
|---|---|
| Aliases | TFEB; BHLHE35; Transcription factor EB; Class E basic helix-loop-helix protein 35; bHLHe35 |
| Entrez GeneID | 7942 |
| Swissprot | P19484 |
| WB Predicted band size | Calculated MW: 53 kDa; Observed MW: 65-70 kDa |
| Host/Isotype | Rabbit IgG |
| Storage | Store at 4°C short term. Aliquot and store at -20°C long term. Avoid freeze/thaw cycles. |
| Species Reactivity | Human |
| Immunogen | Recombinant protein of human TFEB |
| Formulation | 50mM Tris-Glycine(pH 7.4), 0.15M NaCl, 40% Glycerol, 0.01% Sodium azide and 0.05% BSA |
| Application | |
|---|---|
| IP | 1/20 |
| WB | 1/500-1/1000 |
| IHC | 1/50-1/100 |
| ICC | 1/50-1/200 |
![]() |
Western blot analysis of TFEB in A549, HL-60 lysates using TFEB antibody. |
![]() |
Immunocytochemistry analysis of Transcription Factor EB (green) in Hela using Transcription Factor EB antibody,and DAPI(blue). |
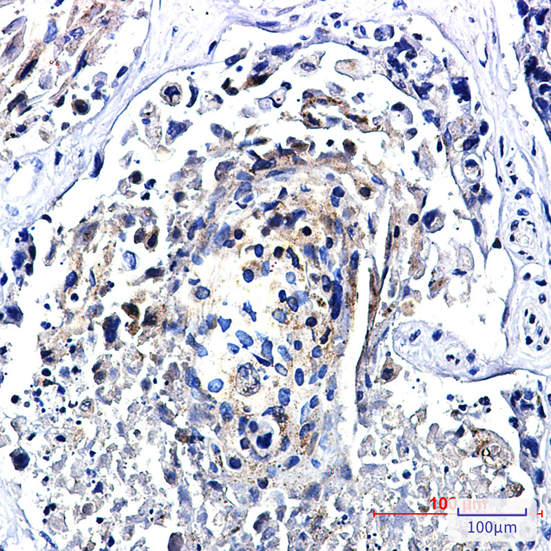
![]() |
Immunohistochemistry analysis of paraffin-embedded Human lung cancer tissue using TFEB antibody.High-pressure and temperature Sodium Citrate pH 6.0 was used for antigen retrieval. |
本公司的所有产品仅用于科学研究或者工业应用等非医疗目的,不可用于人类或动物的临床诊断或治疗,非药用,非食用。
暂无评论
本公司的所有产品仅用于科学研究或者工业应用等非医疗目的,不可用于人类或动物的临床诊断或治疗,非药用,非食用。
中文



发表回复