别名:UBCH 10; UbcH10; Ube2c应用:WB,IHC,ICC,IP
反应种属:Human,Mouse,Rat
规格:50μl/100μl
| Description |
|---|
| Accepts ubiquitin from the E1 complex and catalyzes its covalent attachment to other proteins. In vitro catalyzes ‘Lys-11’- and ‘Lys-48’-linked polyubiquitination. Acts as an essential factor of the anaphase promoting complex/cyclosome (APC/C), a cell cycle-regulated ubiquitin ligase that controls progression through mitosis. |
| Specification | |
|---|---|
| Aliases | UBCH 10; UbcH10; Ube2c |
| Entrez GeneID | 11065 |
| Swissprot | O00762 |
| WB Predicted band size | Calculated MW: 20 kDa; Observed MW: 20 kDa |
| Host/Isotype | Rabbit IgG |
| Storage | Store at 4°C short term. Aliquot and store at -20°C long term. Avoid freeze/thaw cycles. |
| Species Reactivity | Human,Mouse,Rat |
| Immunogen | Recombinant protein of human UBE2C |
| Formulation | 50mM Tris-Glycine(pH 7.4), 0.15M NaCl, 40% Glycerol, 0.01% Sodium azide and 0.05% BSA |
| Application | |
|---|---|
| IP | 1/20 |
| WB | 1/500-1/1000 |
| IHC | 1/50-1/100 |
| ICC | 1/50-1/200 |
![]() |
Western blot analysis of UBE2C in PC-12, Raw264.7, 3T3 lysates using UBE2C antibody. |
![]() |
Western blot analysis of UBE2C in A549, HL-60, U2OS lysates using UBE2C antibody |
![]() |
Immunocytochemistry analysis of Ubiquitin Conjugating Enzyme E2 C (green) in Hela using Ubiquitin Conjugating Enzyme E2 C antibody,and DAPI(blue). |
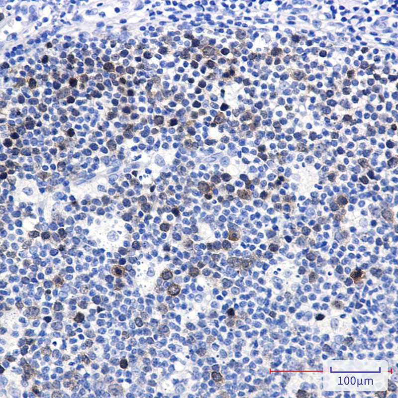
![]() |
Immunohistochemistry analysis of paraffin-embedded Human tonsil using UBE2C antibody.High-pressure and temperature Sodium Citrate pH 6.0 was used for antigen retrieval. |
本公司的所有产品仅用于科学研究或者工业应用等非医疗目的,不可用于人类或动物的临床诊断或治疗,非药用,非食用。
暂无评论
本公司的所有产品仅用于科学研究或者工业应用等非医疗目的,不可用于人类或动物的临床诊断或治疗,非药用,非食用。
中文




发表回复