别名:FOR; WOX1; EIEE28; FRA16D; SCAR12; HHCMA56; PRO0128; SDR41C1; D16S432E应用:WB,IHC,IP
反应种属:Human,Mouse
规格:50μl/100μl
| Description |
|---|
| Putative oxidoreductase. |
| Specification | |
|---|---|
| Aliases | FOR; WOX1; EIEE28; FRA16D; SCAR12; HHCMA56; PRO0128; SDR41C1; D16S432E |
| Entrez GeneID | 51741 |
| Swissprot | Q9NZC7 |
| WB Predicted band size | Calculated MW: 47 kDa; Observed MW: 47 kDa |
| Host/Isotype | Rabbit IgG |
| Storage | Store at 4°C short term. Aliquot and store at -20°C long term. Avoid freeze/thaw cycles. |
| Species Reactivity | Human,Mouse |
| Immunogen | Recombinant protein of human WWOX |
| Formulation | 50mM Tris-Glycine(pH 7.4), 0.15M NaCl, 40% Glycerol, 0.01% Sodium azide and 0.05% BSA |
| Application | |
|---|---|
| IP | 1/20 |
| WB | 1/500-1/1000 |
| IHC | 1/50-1/100 |
![]() |
Western blot analysis of WWOX in mouse testis, mouse spleen lysates using WWOX antibody. |
![]() |
Western blot analysis of WWOX in Hela, U2OS, U251MG lysates using WWOX antibody. |
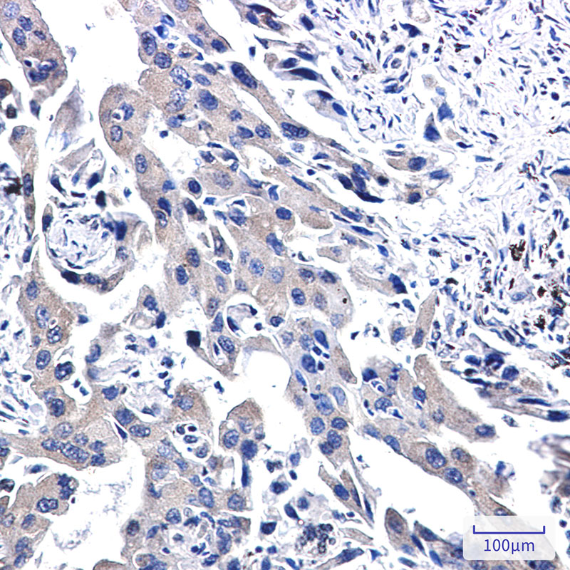
![]() |
Immunohistochemistry analysis of paraffin-embedded Human lung cancer using WWOX antibody. High-pressure and temperature Sodium Citrate pH 6.0 was used for antigen retrieval. |
本公司的所有产品仅用于科学研究或者工业应用等非医疗目的,不可用于人类或动物的临床诊断或治疗,非药用,非食用。
暂无评论
本公司的所有产品仅用于科学研究或者工业应用等非医疗目的,不可用于人类或动物的临床诊断或治疗,非药用,非食用。
中文



发表回复