别名:FBI1; LRF; Pokemon; TIP21; ZBTB7; ZBTB7A; ZNF857A应用:WB,IHC,ICC,IP
反应种属:Human
规格:50μl/100μl
| Description |
|---|
| Plays a key role in the instruction of early lymphoid progenitors to develop into B lineage by repressing T-cell instructive Notch signals (By similarity). |
| Specification | |
|---|---|
| Aliases | FBI1; LRF; Pokemon; TIP21; ZBTB7; ZBTB7A; ZNF857A |
| Entrez GeneID | 51341 |
| Swissprot | O95365 |
| WB Predicted band size | Calculated MW: 61 kDa; Observed MW: 61 kDa |
| Host/Isotype | Rabbit IgG |
| Storage | Store at 4°C short term. Aliquot and store at -20°C long term. Avoid freeze/thaw cycles. |
| Species Reactivity | Human |
| Immunogen | A synthetic peptide of human ZBTB7A |
| Formulation | 50mM Tris-Glycine(pH 7.4), 0.15M NaCl, 40% Glycerol, 0.01% Sodium azide and 0.05% BSA |
| Application | |
|---|---|
| IP | 1/20 |
| WB | 1/500-1/1000 |
| IHC | 1/50-1/100 |
| ICC | 1/50-1/200 |
![]() |
Western blot analysis of ZBTB7A in Hela, Ramos lysates using ZBTB7A antibody. |
![]() |
Immunocytochemistry analysis of ZBTB7A (green) in MCF-7 using ZBTB7A antibody,and DAPI(blue) |
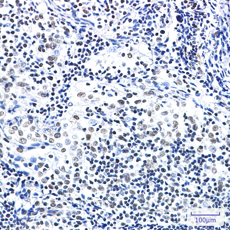
![]() |
Immunohistochemistry analysis of paraffin-embedded Human tonsil using ZBTB7A antibody.High-pressure and temperature Sodium Citrate pH 6.0 was used for antigen retrieval. |
本公司的所有产品仅用于科学研究或者工业应用等非医疗目的,不可用于人类或动物的临床诊断或治疗,非药用,非食用。
暂无评论
本公司的所有产品仅用于科学研究或者工业应用等非医疗目的,不可用于人类或动物的临床诊断或治疗,非药用,非食用。
中文



发表回复