别名:YWHAZ; 14-3-3 protein zeta/delta; Protein kinase C inhibitor protein 1; KCIP-1; YWHAB; 14-3-3 protein beta/alpha; Protein 1054; Protein kinase C inhibitor protein 1; KCIP-1应用:WB,IHC,FCM
反应种属:Human,Mouse,Rat
规格:50μl/100μl
| Description |
|---|
| Adapter protein implicated in the regulation of a large spectrum of both general and specialized signaling pathways. Binds to a large number of partners, usually by recognition of a phosphoserine or phosphothreonine motif. Binding generally results in the modulation of the activity of the binding partner. Negative regulator of osteogenesis. |
| Specification | |
|---|---|
| Aliases | YWHAZ; 14-3-3 protein zeta/delta; Protein kinase C inhibitor protein 1; KCIP-1; YWHAB; 14-3-3 protein beta/alpha; Protein 1054; Protein kinase C inhibitor protein 1; KCIP-1 |
| Entrez GeneID | 7529/7534 |
| Swissprot | P31946/P63104 |
| WB Predicted band size | Calculated MW: 28 kDa; Observed MW: 28 kDa |
| Host/Isotype | Rabbit IgG |
| Storage | Store at 4°C short term. Aliquot and store at -20°C long term. Avoid freeze/thaw cycles. |
| Species Reactivity | Human,Mouse,Rat |
| Immunogen | A synthesized peptide derived from human 14-3-3 |
| Formulation | Rabbit IgG in phosphate buffered saline , pH 7.4, 150mM NaCl, 0.02% sodium azide and 50% glycerol. |
| Application | |
|---|---|
| WB | 1/500-1/1000 |
| IHC | 1/50-1/100 |
| FCM | 1/50-1/100 |
![]() |
Western blot analysis of 14-3-3 in Hela lysates using 14-3-3 antibody. |
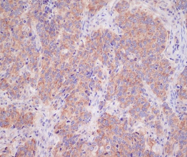
![]() |
Immunohistochemistry analysis of paraffin-embedded Human breast cancer using 14-3-3 antibody.High-pressure and temperature Sodium Citrate pH 6.0 was used for antigen retrieval. |
本公司的所有产品仅用于科学研究或者工业应用等非医疗目的,不可用于人类或动物的临床诊断或治疗,非药用,非食用。
暂无评论
本公司的所有产品仅用于科学研究或者工业应用等非医疗目的,不可用于人类或动物的临床诊断或治疗,非药用,非食用。
中文


发表回复