别名:A2MD; CPAMD5; FWP007; S863-7应用:IHC
反应种属:Human
规格:50μl/100μl
| Description |
|---|
| Alpha-2-macroglobulin is a protease inhibitor and cytokine transporter. It inhibits many proteases, including trypsin, thrombin and collagenase. A2M is implicated in Alzheimer disease (AD) due to its ability to mediate the clearance and degradation of A-beta, the major component of beta-amyloid deposits. |
| Specification | |
|---|---|
| Aliases | A2MD; CPAMD5; FWP007; S863-7 |
| Swissprot | P01023 |
| Host/Isotype | Rabbit IgG |
| Storage | Store at 4°C short term. Aliquot and store at -20°C long term. Avoid freeze/thaw cycles. |
| Species Reactivity | Human |
| Immunogen | Synthetic peptide of human A2M |
| Formulation | pH7.4 PBS, 0.05% NaN3, 40% Glycerol |
| Application | |
|---|---|
| IHC | 1/25-1/100 |
| ELISA | 1/5000-1/10000 |
![]() |
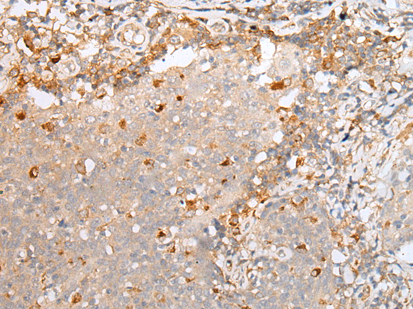
The image is immunohistochemistry of paraffin-embedded Human liver cancer tissue using P05717(A2M Antibody) at dilution 1/20. (Original magnification: ×200) |
![]() |
The image is immunohistochemistry of paraffin-embedded Human cervical cancer tissue using P05717(A2M Antibody) at dilution 1/20. (Original magnification: ×200) |
本公司的所有产品仅用于科学研究或者工业应用等非医疗目的,不可用于人类或动物的临床诊断或治疗,非药用,非食用。
暂无评论
本公司的所有产品仅用于科学研究或者工业应用等非医疗目的,不可用于人类或动物的临床诊断或治疗,非药用,非食用。
中文


发表回复