别名:FFM; RMP; ABCR; RP19; STGD; ABC10; ARMD2; CORD3; STGD1应用:IHC
反应种属:Human
规格:50μl/100μl
| Description |
|---|
| The membrane-associated protein encoded by this gene is a member of the superfamily of ATP-binding cassette (ABC) transporters. ABC proteins transport various molecules across extra- and intracellular membranes. ABC genes are divided into seven distinct subfamilies (ABC1, MDR/TAP, MRP, ALD, OABP, GCN20, White). This protein is a member of the ABC1 subfamily. Members of the ABC1 subfamily comprise the only major ABC subfamily found exclusively in multicellular eukaryotes. This protein is a retina-specific ABC transporter with N-retinylidene-PE as a substrate. It is expressed exclusively in retina photoreceptor cells, indicating the gene product mediates transport of an essental molecule across the photoreceptor cell membrane. Mutations in this gene are found in patients diagnosed with Stargardt disease, a form of juvenile-onset macular degeneration. Mutations in this gene are also associated with retinitis pigmentosa-19, cone-rod dystrophy type 3, early-onset severe retinal dystrophy, fundus flavimaculatus, and macular degeneration age-related 2. |
| Specification | |
|---|---|
| Aliases | FFM; RMP; ABCR; RP19; STGD; ABC10; ARMD2; CORD3; STGD1 |
| Swissprot | P78363 |
| Host/Isotype | Rabbit IgG |
| Storage | Store at 4°C short term. Aliquot and store at -20°C long term. Avoid freeze/thaw cycles. |
| Species Reactivity | Human |
| Immunogen | Synthetic peptide of human ABCA4 |
| Formulation | pH7.4 PBS, 0.05% NaN3, 40% Glycerol |
| Application | |
|---|---|
| IHC | 1/25-1/100 |
| ELISA | 1/2000-1/5000 |
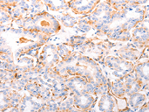
![]() |
The image is immunohistochemistry of paraffin-embedded Human colon cancer tissue using P04526(ABCA4 Antibody) at dilution 1/30. (Original magnification: ×200) |
![]() |
The image is immunohistochemistry of paraffin-embedded Human thyroid cancer tissue using P04526(ABCA4 Antibody) at dilution 1/30. (Original magnification: ×200) |
本公司的所有产品仅用于科学研究或者工业应用等非医疗目的,不可用于人类或动物的临床诊断或治疗,非药用,非食用。
暂无评论
本公司的所有产品仅用于科学研究或者工业应用等非医疗目的,不可用于人类或动物的临床诊断或治疗,非药用,非食用。
中文


发表回复