别名:ATP-binding cassette sub-family B member 10, mitochondrial, ATP-binding cassette transporter 10, ABC transporter 10 protein, Mitochondrial ATP-binding cassette 2, M-ABC2, ABCB10应用:WB,IHC
反应种属:Human
规格:50μl/100μl
| Description |
|---|
| The membrane-associated protein ABCB10 is a member of the superfamily of ATP-binding cassette (ABC) transporters. ABC proteins transport various molecules across extra- and intra-cellular membranes. ABC genes are divided into seven distinct subfamilies (ABC1, MDR/TAP, MRP, ALD, OABP, GCN20, White). This protein is a member of the MDR/TAP subfamily. Members of the MDR/TAP subfamily are involved in multidrug resistance. The function of this mitochondrial protein is unknown. |
| Specification | |
|---|---|
| Aliases | ATP-binding cassette sub-family B member 10, mitochondrial, ATP-binding cassette transporter 10, ABC transporter 10 protein, Mitochondrial ATP-binding cassette 2, M-ABC2, ABCB10 |
| Entrez GeneID | 23456 |
| Swissprot | Q9NRK6 |
| WB Predicted band size | 79.1kDa |
| Host/Isotype | Rabbit IgG |
| Storage | Store at 4°C short term. Aliquot and store at -20°C long term. Avoid freeze/thaw cycles. |
| Species Reactivity | Human |
| Immunogen | This ABCB10 antibody is generated from rabbits immunized with a KLH conjugated synthetic peptide between 1-27 amino acids from the N-terminal region of human ABCB10. |
| Formulation | Purified polyclonal antibody supplied in PBS with 0.05% sodium azide. This antibody is purified through a protein A column, followed by peptide affinity purification. |
| Application | |
|---|---|
| WB | 1/1000 |
| IHC | 1/100-1/500 |
![]() |
ABCB10 Antibody (S16) (Cat. #P30085) western blot analysis in MCF-7 cell line lysates (35ug/lane).This demonstrates the ABCB10 antibody detected the ABCB10 protein (arrow). |
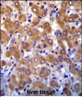
![]() |
ABCB10 antibody (N-term) (Cat. #P30085)immunohistochemistry analysis in formalin fixed and paraffin embedded human liver tissue followed by peroxidase conjugation of the secondary antibody and DAB staining.This data demonstrates the use of ABCB10 antibody (N-term) for immunohistochemistry. Clinical relevance has not been evaluated. |
本公司的所有产品仅用于科学研究或者工业应用等非医疗目的,不可用于人类或动物的临床诊断或治疗,非药用,非食用。
暂无评论
本公司的所有产品仅用于科学研究或者工业应用等非医疗目的,不可用于人类或动物的临床诊断或治疗,非药用,非食用。
中文


发表回复