别名:ARA; PXE; MLP1; MRP6; PXE1; URG7; ABC34; GACI2; MOATE; MOAT-E; EST349056应用:IHC
反应种属:Human
规格:50μl/100μl
| Description |
|---|
| The protein encoded by this gene is a member of the superfamily of ATP-binding cassette (ABC) transporters. ABC proteins transport various molecules across extra- and intra-cellular membranes. ABC genes are divided into seven distinct subfamilies (ABC1, MDR/TAP, MRP, ALD, OABP, GCN20, White). The encoded protein, a member of the MRP subfamily, is involved in multi-drug resistance. Mutations in this gene cause pseudoxanthoma elasticum. Alternatively spliced transcript variants that encode different proteins have been described for this gene. |
| Specification | |
|---|---|
| Aliases | ARA; PXE; MLP1; MRP6; PXE1; URG7; ABC34; GACI2; MOATE; MOAT-E; EST349056 |
| Swissprot | O95255 |
| Host/Isotype | Rabbit IgG |
| Storage | Store at 4°C short term. Aliquot and store at -20°C long term. Avoid freeze/thaw cycles. |
| Species Reactivity | Human |
| Immunogen | Synthetic peptide of human ABCC6 |
| Formulation | pH7.4 PBS, 0.05% NaN3, 40% Glycerol |
| Application | |
|---|---|
| IHC | 1/20-1/100 |
| ELISA | 1/5000-1/10000 |
![]() |
The image is immunohistochemistry of paraffin-embedded Human gastric cancer tissue using P13158(ABCC6 Antibody) at dilution 1/25. (Original magnification: ×200) |
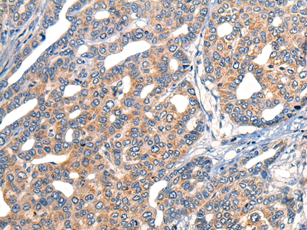
![]() |
The image is immunohistochemistry of paraffin-embedded Human liver cancer tissue using P13158(ABCC6 Antibody) at dilution 1/25. (Original magnification: ×200) |
本公司的所有产品仅用于科学研究或者工业应用等非医疗目的,不可用于人类或动物的临床诊断或治疗,非药用,非食用。
暂无评论
本公司的所有产品仅用于科学研究或者工业应用等非医疗目的,不可用于人类或动物的临床诊断或治疗,非药用,非食用。
中文


发表回复