别名:HS1-2; LABH2; PHPS1-2应用:IHC
反应种属:Human, Mouse
规格:50μl/100μl
| Description |
|---|
| This gene encodes a protein containing an alpha/beta hydrolase fold, which is a catalytic domain found in a wide range of enzymes. The encoded protein is an acylglycerol lipase that catalyzes the hydrolysis of endocannabinoid arachidonoylglycerol from the cell membrane. This leads to activation of the sperm calcium channel CatSper, which results in sperm activation. Alternative splicing of this gene results in two transcript variants encoding the same protein. |
| Specification | |
|---|---|
| Aliases | HS1-2; LABH2; PHPS1-2 |
| Swissprot | P08910 |
| Host/Isotype | Rabbit IgG |
| Storage | Store at 4°C short term. Aliquot and store at -20°C long term. Avoid freeze/thaw cycles. |
| Species Reactivity | Human, Mouse |
| Immunogen | Synthetic peptide of human ABHD2 |
| Formulation | pH7.4 PBS, 0.05% NaN3, 40% Glycerol |
| Application | |
|---|---|
| IHC | 1/40-1/200 |
| ELISA | 1/5000-1/10000 |
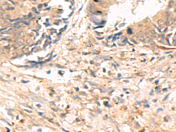
![]() |
The image is immunohistochemistry of paraffin-embedded Human tonsil tissue using P12595(ABHD2 Antibody) at dilution 1/40. (Original magnification: ×200) |
![]() |
The image is immunohistochemistry of paraffin-embedded Human colorectal cancer tissue using P12595(ABHD2 Antibody) at dilution 1/40. (Original magnification: ×200) |
本公司的所有产品仅用于科学研究或者工业应用等非医疗目的,不可用于人类或动物的临床诊断或治疗,非药用,非食用。
暂无评论
本公司的所有产品仅用于科学研究或者工业应用等非医疗目的,不可用于人类或动物的临床诊断或治疗,非药用,非食用。
中文


发表回复