别名:GTB; NAGAT; A3GALNT; A3GALT1应用:IHC
反应种属:Human
规格:50μl/100μl
| Description |
|---|
| This gene encodes proteins related to the first discovered blood group system, ABO. Which allele is present in an individual determines the blood group. The ‘O’ blood group is caused by a deletion of guanine-258 near the N-terminus of the protein which results in a frameshift and translation of an almost entirely different protein. Individuals with the A, B, and AB alleles express glycosyltransferase activities that convert the H antigen into the A or B antigen. Other minor alleles have been found for this gene. |
| Specification | |
|---|---|
| Aliases | GTB; NAGAT; A3GALNT; A3GALT1 |
| Swissprot | P16442 |
| Host/Isotype | Rabbit IgG |
| Storage | Store at 4°C short term. Aliquot and store at -20°C long term. Avoid freeze/thaw cycles. |
| Species Reactivity | Human |
| Immunogen | Synthetic peptide of human ABO |
| Formulation | pH7.4 PBS, 0.05% NaN3, 40% Glycerol |
| Application | |
|---|---|
| IHC | 1/50-1/200 |
| ELISA | 1/1000-1/5000 |
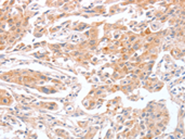
![]() |
The image is immunohistochemistry of paraffin-embedded Human cervical cancer tissue using P11601(ABO Antibody) at dilution 1/50. (Original magnification: ×200) |
![]() |
The image is immunohistochemistry of paraffin-embedded Human lung cancer tissue using P11601(ABO Antibody) at dilution 1/50. (Original magnification: ×200) |
本公司的所有产品仅用于科学研究或者工业应用等非医疗目的,不可用于人类或动物的临床诊断或治疗,非药用,非食用。
暂无评论
本公司的所有产品仅用于科学研究或者工业应用等非医疗目的,不可用于人类或动物的临床诊断或治疗,非药用,非食用。
中文


发表回复