别名:Angiotensin-converting enzyme 2, ACE-related carboxypeptidase, Angiotensin-converting enzyme homolog, ACEH, Metalloprotease MPROT15, Processed angiotensin-converting enzyme 2, ACE2应用:WB,IHC
反应种属:Human
规格:50μl/100μl
| Description |
|---|
| ACE2 cDNA encodes a deduced 805-amino acid protein containing a potential 17-amino acid N-terminal signal peptide and a putative 22-amino acid C-terminal membrane anchor. It also possesses a zinc metalloprotease consensus sequence and a conserved glutamine residue that may function as a third zinc ligand. ACE2 is expressed predominantly in vascular endothelial cells of the heart and kidney. ACE converts angiotensin I to angiotensin II, ACE2 converts angiotensin I to angiotensin 1-9, which has 9 amino acids. Angiotensin II is a potent blood vessel constrictor, while angiotensin 1-9 does not impact blood vessels but is cleaved by ACE to a shorter peptide, angiotensin 1-7, which is a blood vessel dilator. Spike (S) proteins of coronaviruses, including the SARS coronavirus, bind with cellular receptors to mediate infection of target cells. ACE2 binds the S1 domain of the SARS coronavirus S protein. SARS coronavirus replicates efficiently on ACE2-transfected but not mock-transfected 293T cells. Anti-ACE2 but not anti-ACE1 antibody blocks viral replication on Vero E6 cells. It has been proposed that ACE2 is a functional receptor for SARS coronavirus. |
| Specification | |
|---|---|
| Aliases | Angiotensin-converting enzyme 2, ACE-related carboxypeptidase, Angiotensin-converting enzyme homolog, ACEH, Metalloprotease MPROT15, Processed angiotensin-converting enzyme 2, ACE2 |
| Entrez GeneID | 59272 |
| Swissprot | Q9BYF1 |
| WB Predicted band size | 92.5kDa |
| Host/Isotype | Rabbit IgG |
| Storage | Store at 4°C short term. Aliquot and store at -20°C long term. Avoid freeze/thaw cycles. |
| Species Reactivity | Human |
| Immunogen | This ACE2 (SARS Receptor) antibody is generated from rabbits immunized with a KLH conjugated synthetic peptide between 773-805 amino acids from the C-terminal region of human ACE2 (SARS Receptor). |
| Formulation | Purified polyclonal antibody supplied in PBS with 0.05% sodium azide. This antibody is prepared by Saturated Ammonium Sulfate (SAS) precipitation followed by dialysis against PBS. |
| Application | |
|---|---|
| WB | 1/1000 |
| IHC | 1/100-1/500 |
![]() |
The anti-ACE2 C-term Pab (Cat. #P30083) is used in Western blot to detect ACE2 in 293 cell lysate. |
![]() |
Western blot analysis of anti-ACE2 C-term Pab (Cat. #P30083) in K562 cell line lysates (35ug/lane). ACE2(arrow) was detected using the purified Pab. |
![]() |
Formalin-fixed and paraffin-embedded human cancer tissue reacted with the primary antibody, which was peroxidase-conjugated to the secondary antibody, followed by AEC staining. This data demonstrates the use of this antibody for immunohistochemistry; clinical relevance has not been evaluated. BC = breast carcinoma; HC = hepatocarcinoma. |
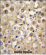
![]() |
Formalin-fixed and paraffin-embedded human testis tissue reacted with ACE2 (SARS Receptor) Antibody (C-term) (Cat.#P30083), which was peroxidase-conjugated to the secondary antibody, followed by DAB staining. This data demonstrates the use of this antibody for immunohistochemistry; clinical relevance has not been evaluated. |
本公司的所有产品仅用于科学研究或者工业应用等非医疗目的,不可用于人类或动物的临床诊断或治疗,非药用,非食用。
暂无评论
本公司的所有产品仅用于科学研究或者工业应用等非医疗目的,不可用于人类或动物的临床诊断或治疗,非药用,非食用。
中文




发表回复