别名:ASAH3; ALKCDase1应用:IHC
反应种属:Human
规格:50μl/100μl
| Description |
|---|
| Ceramides are synthesized during epidermal differentiation and accumulate within the interstices of the stratum corneum, where they represent critical components of the epidermal permeability barrier. Excess cellular ceramide can trigger antimitogenic signals and induce apoptosis, and the ceramide metabolites sphingosine and sphingosine-1-phosphate (S1P) are important bioregulatory molecules. Ceramide hydrolysis in the nucleated cell layers regulates keratinocyte proliferation and apoptosis in response to external stress. Ceramide hydrolysis also occurs at the stratum corneum, releasing free sphingoid base that functions as an endogenous antimicrobial agent. ACER1 is highly expressed in epidermis and catalyzes the hydrolysis of very long chain ceramides to generate sphingosine (Houben et al., 2006 [PubMed 16477081]; Sun et al., 2008 [PubMed 17713573]). |
| Specification | |
|---|---|
| Aliases | ASAH3; ALKCDase1 |
| Swissprot | Q8TDN7 |
| Host/Isotype | Rabbit IgG |
| Storage | Store at 4°C short term. Aliquot and store at -20°C long term. Avoid freeze/thaw cycles. |
| Species Reactivity | Human |
| Immunogen | Synthetic peptide of human ACER1 |
| Formulation | pH7.4 PBS, 0.05% NaN3, 40% Glycerol |
| Application | |
|---|---|
| IHC | 1/25-1/100 |
| ELISA | 1/5000-1/10000 |
![]() |
The image is immunohistochemistry of paraffin-embedded Human liver cancer tissue using P04667(ACER1 Antibody) at dilution 1/30. (Original magnification: ×200) |
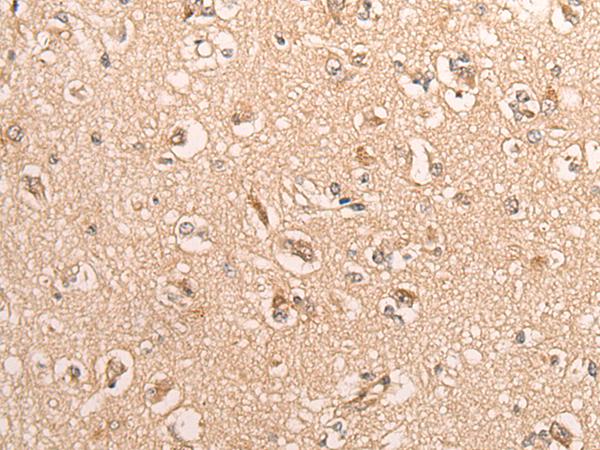
![]() |
The image is immunohistochemistry of paraffin-embedded Human brain tissue using P04667(ACER1 Antibody) at dilution 1/30. (Original magnification: ×200) |
本公司的所有产品仅用于科学研究或者工业应用等非医疗目的,不可用于人类或动物的临床诊断或治疗,非药用,非食用。
暂无评论
本公司的所有产品仅用于科学研究或者工业应用等非医疗目的,不可用于人类或动物的临床诊断或治疗,非药用,非食用。
中文


发表回复