别名:ACN; ACINUS; fSAP152应用:IHC
反应种属:Human, Mouse
规格:50μl/100μl
| Description |
|---|
| Apoptosis is defined by several morphologic nuclear changes, including chromatin condensation and nuclear fragmentation. This gene encodes a nuclear protein that induces apoptotic chromatin condensation after activation by caspase-3, without inducing DNA fragmentation. This protein has also been shown to be a component of a splicing-dependent multiprotein exon junction complex (EJC) that is deposited at splice junctions on mRNAs, as a consequence of pre-mRNA splicing. It may thus be involved in mRNA metabolism associated with splicing. Alternatively spliced transcript variants encoding different isoforms have been described for this gene. |
| Specification | |
|---|---|
| Aliases | ACN; ACINUS; fSAP152 |
| Swissprot | Q9UKV3 |
| Host/Isotype | Rabbit IgG |
| Storage | Store at 4°C short term. Aliquot and store at -20°C long term. Avoid freeze/thaw cycles. |
| Species Reactivity | Human, Mouse |
| Immunogen | Synthetic peptide of human ACIN1 |
| Formulation | pH7.4 PBS, 0.05% NaN3, 40% Glycerol |
| Application | |
|---|---|
| IHC | 1/100-1/300 |
| ELISA | 1/2000-1/10000 |
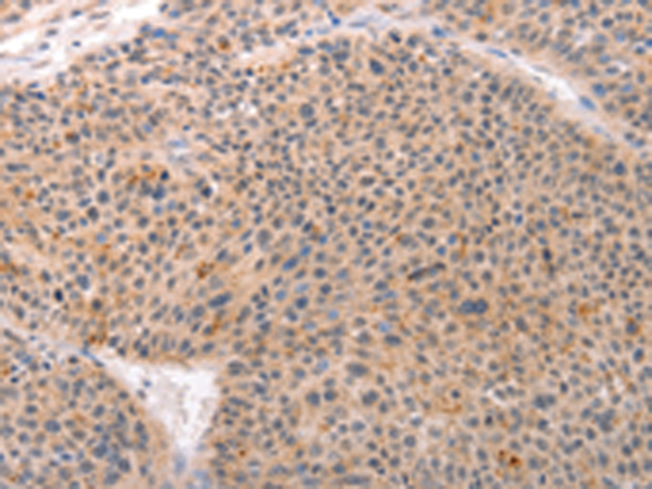
![]() |
The image is immunohistochemistry of paraffin-embedded Human liver cancer tissue using P11418(ACIN1 Antibody) at dilution 1/80. (Original magnification: ×200) |
![]() |
The image is immunohistochemistry of paraffin-embedded Human esophagus cancer tissue using P11418(ACIN1 Antibody) at dilution 1/80. (Original magnification: ×200) |
本公司的所有产品仅用于科学研究或者工业应用等非医疗目的,不可用于人类或动物的临床诊断或治疗,非药用,非食用。
暂无评论
本公司的所有产品仅用于科学研究或者工业应用等非医疗目的,不可用于人类或动物的临床诊断或治疗,非药用,非食用。
中文


发表回复