别名:IRP1; ACONS; IREB1; IREBP; IREBP1应用:IHC
反应种属:Human, Mouse, Rat
规格:50μl/100μl
| Description |
|---|
| Aconitase 1, also known as iron regulatory element binding protein 1 (IREB1), is a cytosolic protein which binds to iron-responsive elements (IREs). IREs are stem-loop structures found in the 5′ UTR of ferritin mRNA, and in the 3′ UTR of transferrin receptor mRNA. The iron-induced binding to the IRE results in repression of translation of ferritin mRNA, and inhibition of degradation of the otherwise rapidly degrading transferrin receptor mRNA. Thus, IREB1 plays a central role in cellular iron homeostasis. It was also shown to have aconitase activity, and hence grouped with the aconitase family of enzymes. |
| Specification | |
|---|---|
| Aliases | IRP1; ACONS; IREB1; IREBP; IREBP1 |
| Swissprot | P21399 |
| Host/Isotype | Rabbit IgG |
| Storage | Store at 4°C short term. Aliquot and store at -20°C long term. Avoid freeze/thaw cycles. |
| Species Reactivity | Human, Mouse, Rat |
| Immunogen | Synthetic peptide of human ACO1 |
| Formulation | pH7.4 PBS, 0.05% NaN3, 40% Glycerol |
| Application | |
|---|---|
| IHC | 1/50-1/200 |
| ELISA | 1/2000-1/10000 |
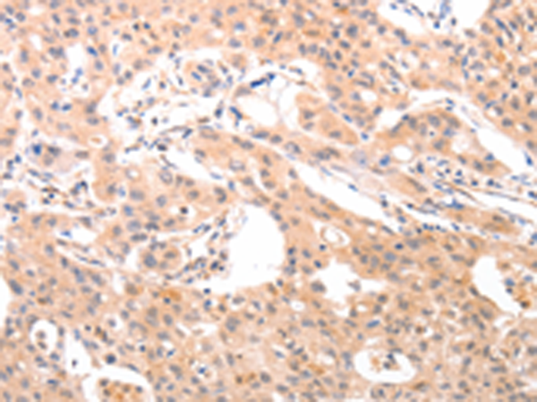
![]() |
The image is immunohistochemistry of paraffin-embedded Human liver cancer tissue using P04528(ACO1 Antibody) at dilution 1/50. (Original magnification: ×200) |
![]() |
The image is immunohistochemistry of paraffin-embedded Human lung cancer tissue using P04528(ACO1 Antibody) at dilution 1/50. (Original magnification: ×200) |
本公司的所有产品仅用于科学研究或者工业应用等非医疗目的,不可用于人类或动物的临床诊断或治疗,非药用,非食用。
暂无评论
本公司的所有产品仅用于科学研究或者工业应用等非医疗目的,不可用于人类或动物的临床诊断或治疗,非药用,非食用。
中文


发表回复