别名:Actin-related protein 5, hARP5, Sarcoma antigen NY-SAR-16, ACTR5, ARP5应用:WB,IHC
反应种属:Human, Hamster
规格:50μl/100μl
| Description |
|---|
| ACTR5 may be involved in transcription regulation via its interaction with the INO80 complex, a chromatin remodeling complex |
| Specification | |
|---|---|
| Aliases | Actin-related protein 5, hARP5, Sarcoma antigen NY-SAR-16, ACTR5, ARP5 |
| Entrez GeneID | 79913 |
| Swissprot | Q9H9F9 |
| WB Predicted band size | 68.3kDa |
| Host/Isotype | Rabbit IgG |
| Storage | Store at 4°C short term. Aliquot and store at -20°C long term. Avoid freeze/thaw cycles. |
| Species Reactivity | Human, Hamster |
| Immunogen | This ACTR5 antibody is generated from rabbits immunized with a KLH conjugated synthetic peptide between 539-568 amino acids from the C-terminal region of human ACTR5. |
| Formulation | Purified polyclonal antibody supplied in PBS with 0.05% sodium azide. This antibody is purified through a protein A column, followed by peptide affinity purification. |
| Application | |
|---|---|
| WB | 1/1000 |
| IHC | 1/100-1/500 |
![]() |
Western blot analysis of ACTR5 Antibody (C-term) (Cat. #P30477) in CHO cell line lysates (35ug/lane). ACTR5 (arrow) was detected using the purified Pab. |
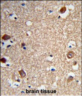
![]() |
Formalin-fixed and paraffin-embedded human brain tissue reacted with ACTR5 Antibody (C-term), which was peroxidase-conjugated to the secondary antibody, followed by DAB staining. This data demonstrates the use of this antibody for immunohistochemistry; clinical relevance has not been evaluated. |
本公司的所有产品仅用于科学研究或者工业应用等非医疗目的,不可用于人类或动物的临床诊断或治疗,非药用,非食用。
暂无评论
本公司的所有产品仅用于科学研究或者工业应用等非医疗目的,不可用于人类或动物的临床诊断或治疗,非药用,非食用。
中文


发表回复