别名:MDC应用:WB,IHC
反应种属:Human, Mouse
规格:50μl/100μl
| Description |
|---|
| This gene encodes a member of the ADAM (a disintegrin and metalloprotease) protein family. Members of this family are membrane-anchored proteins structurally related to snake venom disintegrins, and have been implicated in a variety of biological processes involving cell-cell and cell-matrix interactions, including fertilization, muscle development, and neurogenesis. This gene represents a candidate tumor supressor gene for human breast cancer based on its location within a minimal region of chromosome 17q21 previously defined by tumor deletion mapping. |
| Specification | |
|---|---|
| Aliases | MDC |
| Swissprot | O75078 |
| WB Predicted band size | 83 kDa |
| Host/Isotype | Rabbit IgG |
| Storage | Store at 4°C short term. Aliquot and store at -20°C long term. Avoid freeze/thaw cycles. |
| Species Reactivity | Human, Mouse |
| Immunogen | Synthetic peptide of human ADAM11 |
| Formulation | pH7.4 PBS, 0.05% NaN3, 40% Glycerol |
| Application | |
|---|---|
| WB | 1/200-1/1000 |
| IHC | 1/50-1/200 |
| ELISA | 1/1000-1/2000 |
![]() |
Gel: 10%SDS-PAGE, Lysate: 50 μg, Lane 1-2: Hela cells, SKOV3 cells, Primary antibody: P04534(ADAM11 Antibody) at dilution 1/500, Secondary antibody: Goat anti rabbit IgG at 1/8000 dilution, Exposure time: 10 minutes |
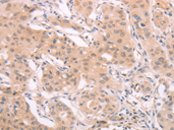
![]() |
The image is immunohistochemistry of paraffin-embedded Human breast cancer tissue using P04534(ADAM11 Antibody) at dilution 1/40. (Original magnification: ×200) |
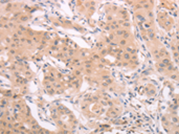
![]() |
The image is immunohistochemistry of paraffin-embedded Human lung cancer tissue using P04534(ADAM11 Antibody) at dilution 1/40. (Original magnification: ×200) |
本公司的所有产品仅用于科学研究或者工业应用等非医疗目的,不可用于人类或动物的临床诊断或治疗,非药用,非食用。
暂无评论
本公司的所有产品仅用于科学研究或者工业应用等非医疗目的,不可用于人类或动物的临床诊断或治疗,非药用,非食用。
中文



发表回复