别名:WMS; WMS1; ADAM-TS10应用:IHC
反应种属:Human, Mouse
规格:50μl/100μl
| Description |
|---|
| This gene belongs to the ADAMTS (a disintegrin and metalloproteinase domain with thrombospondin type-1 motifs) family of zinc-dependent proteases. ADAMTS proteases are complex secreted enzymes containing a prometalloprotease domain of the reprolysin type attached to an ancillary domain with a highly conserved structure that includes at least one thrombospondin type 1 repeat. They have been demonstrated to have important roles in connective tissue organization, coagulation, inflammation, arthritis, angiogenesis and cell migration. The product of this gene plays a major role in growth and in skin, lens, and heart development. It is also a candidate gene for autosomal recessive Weill-Marchesani syndrome. |
| Specification | |
|---|---|
| Aliases | WMS; WMS1; ADAM-TS10 |
| Swissprot | Q9H324 |
| Host/Isotype | Rabbit IgG |
| Storage | Store at 4°C short term. Aliquot and store at -20°C long term. Avoid freeze/thaw cycles. |
| Species Reactivity | Human, Mouse |
| Immunogen | Synthetic peptide of human ADAMTS10 |
| Formulation | pH7.4 PBS, 0.05% NaN3, 40% Glycerol |
| Application | |
|---|---|
| IHC | 1/25-1/100 |
| ELISA | 1/2000-1/5000 |
![]() |
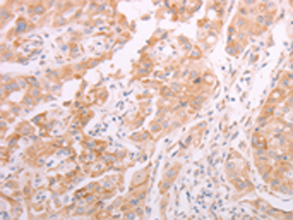
The image is immunohistochemistry of paraffin-embedded Human thyroid cancer tissue using P04537(ADAMTS10 Antibody) at dilution 1/20. (Original magnification: ×200) |
![]() |
The image is immunohistochemistry of paraffin-embedded Human lung cancer tissue using P04537(ADAMTS10 Antibody) at dilution 1/20. (Original magnification: ×200) |
本公司的所有产品仅用于科学研究或者工业应用等非医疗目的,不可用于人类或动物的临床诊断或治疗,非药用,非食用。
暂无评论
本公司的所有产品仅用于科学研究或者工业应用等非医疗目的,不可用于人类或动物的临床诊断或治疗,非药用,非食用。
中文


发表回复