别名:VWFCP; C9orf8; vWF-CP; ADAM-TS13; ADAMTS-13应用:IHC
反应种属:Human
规格:50μl/100μl
| Description |
|---|
| This gene encodes a member of a family of proteins containing several distinct regions, including a metalloproteinase domain, a disintegrin-like domain, and a thrombospondin type 1 (TS) motif. The enzyme encoded by this gene specifically cleaves von Willebrand Factor (vWF). Defects in this gene are associated with thrombotic thrombocytopenic purpura. Alternative splicing results in multiple transcript variants. |
| Specification | |
|---|---|
| Aliases | VWFCP; C9orf8; vWF-CP; ADAM-TS13; ADAMTS-13 |
| Swissprot | Q76LX8 |
| Host/Isotype | Rabbit IgG |
| Storage | Store at 4°C short term. Aliquot and store at -20°C long term. Avoid freeze/thaw cycles. |
| Species Reactivity | Human |
| Immunogen | Synthetic peptide of human ADAMTS13 |
| Formulation | pH7.4 PBS, 0.05% NaN3, 40% Glycerol |
| Application | |
|---|---|
| IHC | 1/25-1/100 |
| ELISA | 1/2000-1/5000 |
![]() |
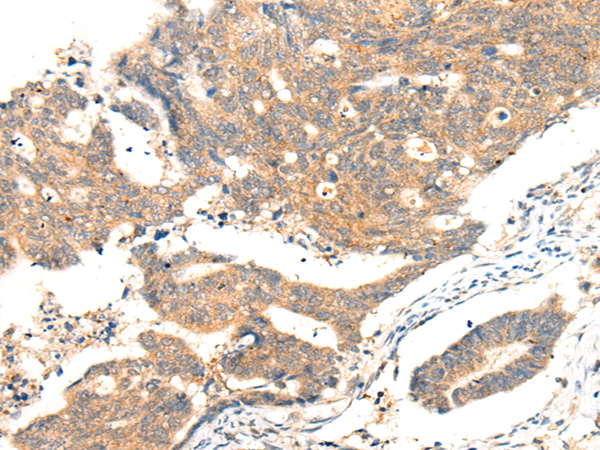
The image is immunohistochemistry of paraffin-embedded Human cervical cancer tissue using P11426(ADAMTS13 Antibody) at dilution 1/25. (Original magnification: ×200) |
![]() |
The image is immunohistochemistry of paraffin-embedded Human gastric cancer tissue using P11426(ADAMTS13 Antibody) at dilution 1/25. (Original magnification: ×200) |
本公司的所有产品仅用于科学研究或者工业应用等非医疗目的,不可用于人类或动物的临床诊断或治疗,非药用,非食用。
暂无评论
本公司的所有产品仅用于科学研究或者工业应用等非医疗目的,不可用于人类或动物的临床诊断或治疗,非药用,非食用。
中文


发表回复