别名:NPI; PNPI; PCINP; PCPNI; PCI-NP; PC I-NP; ADAM-TS2; ADAMTS-2; ADAMTS-3; EDSDERMS应用:WB,IHC
反应种属:Human, Mouse
规格:50μl/100μl
| Description |
|---|
| This gene encodes a member of the ADAMTS (a disintegrin and metalloproteinase with thrombospondin motifs) protein family. Members of the family share several distinct protein modules, including a propeptide region, a metalloproteinase domain, a disintegrin-like domain, and a thrombospondin type 1 (TS) motif. Individual members of this family differ in the number of C-terminal TS motifs, and some have unique C-terminal domains. The encoded preproprotein is proteolytically processed to generate the mature procollagen N-proteinase. This proteinase excises the N-propeptide of the fibrillar procollagens types I-III and type V. Mutations in this gene cause Ehlers-Danlos syndrome type VIIC, a recessively inherited connective-tissue disorder. Alternative splicing results in multiple transcript variants, at least one of which encodes an isoform that is proteolytically processed. |
| Specification | |
|---|---|
| Aliases | NPI; PNPI; PCINP; PCPNI; PCI-NP; PC I-NP; ADAM-TS2; ADAMTS-2; ADAMTS-3; EDSDERMS |
| Swissprot | O95450 |
| WB Predicted band size | 135 kDa |
| Host/Isotype | Rabbit IgG |
| Storage | Store at 4°C short term. Aliquot and store at -20°C long term. Avoid freeze/thaw cycles. |
| Species Reactivity | Human, Mouse |
| Immunogen | Synthetic peptide of human ADAMTS2 |
| Formulation | pH7.4 PBS, 0.05% NaN3, 40% Glycerol |
| Application | |
|---|---|
| WB | 1/200-1/1000 |
| IHC | 1/50-1/200 |
| ELISA | 1/5000-1/10000 |
![]() |
Gel: 6%SDS-PAGE, Lysate: 40 μg, Lane: Mouse fetal brain tissue lysate, Primary antibody: P04255(ADAMTS2 Antibody) at dilution 1/200, Secondary antibody: Goat anti rabbit IgG at 1/5000 dilution, Exposure time: 2 minutes |
![]() |
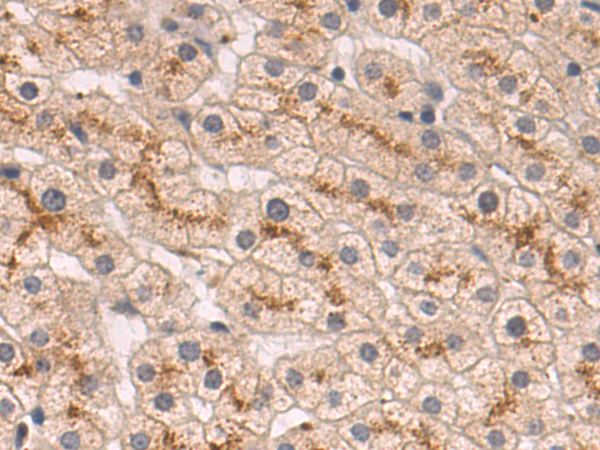
The image is immunohistochemistry of paraffin-embedded Human liver cancer tissue using P04255(ADAMTS2 Antibody) at dilution 1/50. (Original magnification: ×200) |
![]() |
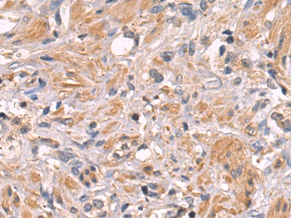
The image is immunohistochemistry of paraffin-embedded Human prostate cancer tissue using P04255(ADAMTS2 Antibody) at dilution 1/50. (Original magnification: ×200) |
本公司的所有产品仅用于科学研究或者工业应用等非医疗目的,不可用于人类或动物的临床诊断或治疗,非药用,非食用。
暂无评论
本公司的所有产品仅用于科学研究或者工业应用等非医疗目的,不可用于人类或动物的临床诊断或治疗,非药用,非食用。
中文



发表回复