别名:AC5; FDFM应用:IHC
反应种属:Human, Mouse, Rat
规格:50μl/100μl
| Description |
|---|
| This gene encodes a member of the membrane-bound adenylyl cyclase enzymes. Adenylyl cyclases mediate G protein-coupled receptor signaling through the synthesis of the second messenger cAMP. Activity of the encoded protein is stimulated by the Gs alpha subunit of G protein-coupled receptors and is inhibited by protein kinase A, calcium and Gi alpha subunits. Single nucleotide polymorphisms in this gene may be associated with low birth weight and type 2 diabetes. Alternatively spliced transcript variants that encode different isoforms have been observed for this gene. |
| Specification | |
|---|---|
| Aliases | AC5; FDFM |
| Swissprot | O95622 |
| Host/Isotype | Rabbit IgG |
| Storage | Store at 4°C short term. Aliquot and store at -20°C long term. Avoid freeze/thaw cycles. |
| Species Reactivity | Human, Mouse, Rat |
| Immunogen | Synthetic peptide of human ADCY5 |
| Formulation | pH7.4 PBS, 0.05% NaN3, 40% Glycerol |
| Application | |
|---|---|
| IHC | 1/25-1/100 |
| ELISA | 1/2000-1/5000 |
![]() |
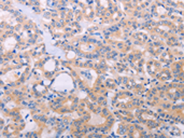
The image is immunohistochemistry of paraffin-embedded Human colon cancer tissue using P04544(ADCY5 Antibody) at dilution 1/30. (Original magnification: ×200) |
![]() |
The image is immunohistochemistry of paraffin-embedded Human thyroid cancer tissue using P04544(ADCY5 Antibody) at dilution 1/30. (Original magnification: ×200) |
本公司的所有产品仅用于科学研究或者工业应用等非医疗目的,不可用于人类或动物的临床诊断或治疗,非药用,非食用。
暂无评论
本公司的所有产品仅用于科学研究或者工业应用等非医疗目的,不可用于人类或动物的临床诊断或治疗,非药用,非食用。
中文


发表回复