别名:Adenylate cyclase type 7, ATP pyrophosphate-lyase 7, Adenylate cyclase type VII, Adenylyl cyclase 7, ADCY7, KIAA0037应用:WB,IHC,FCM
反应种属:Human
规格:50μl/100μl
| Description |
|---|
| ADCY7 encodes a membrane-bound adenylate cyclase that catalyses the formation of cyclic AMP from ATP and is inhibitable by calcium. The product of this gene is a member of the adenylyl cyclase class-4/guanylyl cyclase enzyme family that is characterized by the presence of twelve membrane-spanning domains in its sequences. |
| Specification | |
|---|---|
| Aliases | Adenylate cyclase type 7, ATP pyrophosphate-lyase 7, Adenylate cyclase type VII, Adenylyl cyclase 7, ADCY7, KIAA0037 |
| Entrez GeneID | 113 |
| Swissprot | P51828 |
| WB Predicted band size | 120.3kDa |
| Host/Isotype | Rabbit IgG |
| Storage | Store at 4°C short term. Aliquot and store at -20°C long term. Avoid freeze/thaw cycles. |
| Species Reactivity | Human |
| Immunogen | This ADCY7 antibody is generated from rabbits immunized with a KLH conjugated synthetic peptide between 510-539 amino acids from the Central region of human ADCY7. |
| Formulation | Purified polyclonal antibody supplied in PBS with 0.05% sodium azide. This antibody is purified through a protein A column, followed by peptide affinity purification. |
| Application | |
|---|---|
| WB | 1/1000 |
| IHC | 1/100-1/500 |
| FCM | 1/10-1/50 |
![]() |
Western blot analysis of ADCY7 Antibody (Center) (Cat. #P30495) in MCF-7 cell line lysates (35ug/lane). ADCY7 (arrow) was detected using the purified Pab. |
![]() |
ADCY7 Antibody (Center) (Cat. #P30495) flow cytometric analysis of MCF-7 cells (bottom histogram) compared to a negative control cell (top histogram).FITC-conjugated goat-anti-rabbit secondary antibodies were used for the analysis. |
![]() |
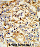
Formalin-fixed and paraffin-embedded human breast carcinoma reacted with ADCY7 Antibody (Center), which was peroxidase-conjugated to the secondary antibody, followed by DAB staining. This data demonstrates the use of this antibody for immunohistochemistry; clinical relevance has not been evaluated. |
本公司的所有产品仅用于科学研究或者工业应用等非医疗目的,不可用于人类或动物的临床诊断或治疗,非药用,非食用。
暂无评论
本公司的所有产品仅用于科学研究或者工业应用等非医疗目的,不可用于人类或动物的临床诊断或治疗,非药用,非食用。
中文



发表回复