别名:TEM5; GPR124应用:WB,IHC
反应种属:Human, Mouse, Rat
规格:50μl/100μl
| Description |
|---|
| Endothelial receptor which functions together with RECK to enable brain endothelial cells to selectively respond to Wnt7 signals (WNT7A or WNT7B) (PubMed:28289266, PubMed:30026314). Plays a key role in Wnt7-specific responses, such as endothelial cell sprouting and migration in the forebrain and neural tube, and establishment of the blood-brain barrier (By similarity). Acts as a Wnt7-specific coactivator of canonical Wnt signaling: required to deliver RECK-bound Wnt7 to frizzled by assembling a higher-order RECK-ADGRA2-Fzd-LRP5-LRP6 complex (PubMed:30026314). ADGRA2-tethering function does not rely on its G-protein coupled receptor (GPCR) structure but instead on its combined capacity to interact with RECK extracellularly and recruit the Dishevelled scaffolding protein intracellularly (PubMed:30026314). Binds to the glycosaminoglycans heparin, heparin sulfate, chondroitin sulfate and dermatan sulfate (PubMed:16982628). |
| Specification | |
|---|---|
| Aliases | TEM5; GPR124 |
| Swissprot | Q96PE1 |
| WB Predicted band size | 143 kDa |
| Host/Isotype | Rabbit IgG |
| Storage | Store at 4°C short term. Aliquot and store at -20°C long term. Avoid freeze/thaw cycles. |
| Species Reactivity | Human, Mouse, Rat |
| Immunogen | Synthetic peptide of human ADGRA2 |
| Formulation | pH7.4 PBS, 0.05% NaN3, 40% Glycerol |
| Application | |
|---|---|
| WB | 1/500-1/2000 |
| IHC | 1/50-1/200 |
| ELISA | 1/5000-1/10000 |
![]() |
Gel: 6%SDS-PAGE, Lysate: 40 μg, Lane: Rat urinary bladder tissue lysate, Primary antibody: P11799(ADGRA2 Antibody) at dilution 1/400, Secondary antibody: Goat anti rabbit IgG at 1/5000 dilution, Exposure time: 5 minutes |
![]() |
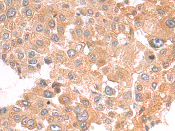
The image is immunohistochemistry of paraffin-embedded Human liver cancer tissue using P11799(ADGRA2 Antibody) at dilution 1/50. (Original magnification: ×200) |
![]() |
The image is immunohistochemistry of paraffin-embedded Human prostate cancer tissue using P11799(ADGRA2 Antibody) at dilution 1/50. (Original magnification: ×200) |
本公司的所有产品仅用于科学研究或者工业应用等非医疗目的,不可用于人类或动物的临床诊断或治疗,非药用,非食用。
暂无评论
本公司的所有产品仅用于科学研究或者工业应用等非医疗目的,不可用于人类或动物的临床诊断或治疗,非药用,非食用。
中文



发表回复