别名:APG1; DREG; VIGR; LCCS9; PR126; GPR126; PS1TP2应用:IHC
反应种属:Human
规格:50μl/100μl
| Description |
|---|
| This gene, which is upregulated in human umbilical vein endothelial cells, encodes a G protein-coupled receptor. Variations in this gene can affect a person’s stature. Multiple transcript variants encoding different proteins have been found for this gene. |
| Specification | |
|---|---|
| Aliases | APG1; DREG; VIGR; LCCS9; PR126; GPR126; PS1TP2 |
| Swissprot | Q86SQ4 |
| Host/Isotype | Rabbit IgG |
| Storage | Store at 4°C short term. Aliquot and store at -20°C long term. Avoid freeze/thaw cycles. |
| Species Reactivity | Human |
| Immunogen | Synthetic peptide of human ADGRG6 |
| Formulation | pH7.4 PBS, 0.05% NaN3, 40% Glycerol |
| Application | |
|---|---|
| IHC | 1/30-1/150 |
| ELISA | 1/5000-1/10000 |
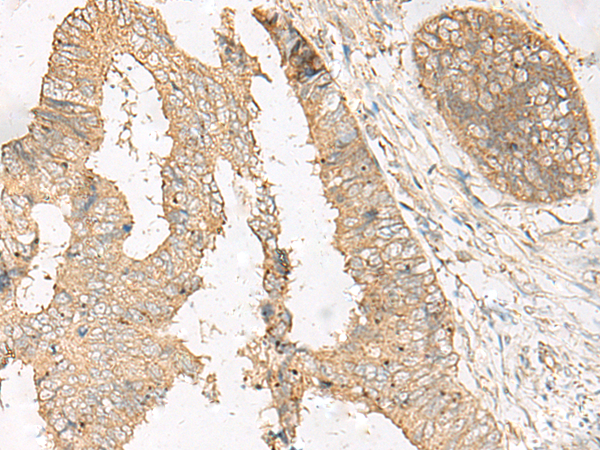
![]() |
The image is immunohistochemistry of paraffin-embedded Human cervical cancer tissue using P13486(ADGRG6 Antibody) at dilution 1/20. (Original magnification: ×200) |
![]() |
The image is immunohistochemistry of paraffin-embedded Human colorectal cancer tissue using P13486(ADGRG6 Antibody) at dilution 1/20. (Original magnification: ×200) |
本公司的所有产品仅用于科学研究或者工业应用等非医疗目的,不可用于人类或动物的临床诊断或治疗,非药用,非食用。
暂无评论
本公司的所有产品仅用于科学研究或者工业应用等非医疗目的,不可用于人类或动物的临床诊断或治疗,非药用,非食用。
中文


发表回复