别名:Alcohol dehydrogenase 6, ADH6应用:WB,IHC,FCM
反应种属:Human
规格:50μl/100μl
| Description |
|---|
| ADH6 encodes class V alcohol dehydrogenase, which is a member of the alcohol dehydrogenase family. Members of this family metabolize a wide variety of substrates, including ethanol, retinol, other aliphatic alcohols, hydroxysteroids, and lipid peroxidation products. This protein is expressed in the stomach as well as in the liver, and it contains a glucocorticoid response element upstream of its 5′ UTR, which is a steroid hormone receptor binding site. |
| Specification | |
|---|---|
| Aliases | Alcohol dehydrogenase 6, ADH6 |
| Entrez GeneID | 130 |
| Swissprot | P28332 |
| WB Predicted band size | 39.1kDa |
| Host/Isotype | Rabbit IgG |
| Storage | Store at 4°C short term. Aliquot and store at -20°C long term. Avoid freeze/thaw cycles. |
| Species Reactivity | Human |
| Immunogen | This ADH6 antibody is generated from rabbits immunized with a KLH conjugated synthetic peptide between 209-240 amino acids from the Central region of human ADH6. |
| Formulation | Purified polyclonal antibody supplied in PBS with 0.05% sodium azide. This antibody is prepared by Saturated Ammonium Sulfate (SAS) precipitation followed by dialysis against PBS. |
| Application | |
|---|---|
| WB | 1/1000 |
| IHC | 1/100-1/500 |
| FCM | 1/10-1/50 |
![]() |
Western blot analysis of ADH6 Antibody (Center) (Cat. #P30473) in Hela cell line lysates (35ug/lane). ADH6 (arrow) was detected using the purified Pab. |
![]() |
ADH6 Antibody (Center) (Cat. #P30473) flow cytometric analysis of Hela cells (bottom histogram) compared to a negative control cell (top histogram).FITC-conjugated goat-anti-rabbit secondary antibodies were used for the analysis. |
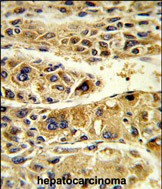
![]() |
Formalin-fixed and paraffin-embedded human hepatocarcinoma reacted with ADH6 Antibody (Center), which was peroxidase-conjugated to the secondary antibody, followed by DAB staining. This data demonstrates the use of this antibody for immunohistochemistry; clinical relevance has not been evaluated. |
本公司的所有产品仅用于科学研究或者工业应用等非医疗目的,不可用于人类或动物的临床诊断或治疗,非药用,非食用。
暂无评论
本公司的所有产品仅用于科学研究或者工业应用等非医疗目的,不可用于人类或动物的临床诊断或治疗,非药用,非食用。
中文



发表回复