别名:CGI45; PAQR1; ACDCR1; CGI-45; TESBP1A应用:WB,IHC
反应种属:Human, Mouse
规格:50μl/100μl
| Description |
|---|
| This gene encodes a protein which acts as a receptor for adiponectin, a hormone secreted by adipocytes which regulates fatty acid catabolism and glucose levels. Binding of adiponectin to the encoded protein results in activation of an AMP-activated kinase signaling pathway which affects levels of fatty acid oxidation and insulin sensitivity. A pseudogene of this gene is located on chromosome 14. |
| Specification | |
|---|---|
| Aliases | CGI45; PAQR1; ACDCR1; CGI-45; TESBP1A |
| Swissprot | Q96A54 |
| WB Predicted band size | 43 kDa |
| Host/Isotype | Rabbit IgG |
| Storage | Store at 4°C short term. Aliquot and store at -20°C long term. Avoid freeze/thaw cycles. |
| Species Reactivity | Human, Mouse |
| Immunogen | Synthetic peptide of human ADIPOR1 |
| Formulation | pH7.4 PBS, 0.05% NaN3, 40% Glycerol |
| Application | |
|---|---|
| WB | 1/200-1/1000 |
| IHC | 1/20-1/100 |
| ELISA | 1/1000-1/2000 |
![]() |
Gel: 8%SDS-PAGE, Lysate: 40 μg, Lane 1-4: 231, 293T, A375 and K562 cell, Primary antibody: P04259(ADIPOR1 Antibody) at dilution 1/200, Secondary antibody: Goat anti rabbit IgG at 1/8000 dilution, Exposure time: 2 minutes |
![]() |
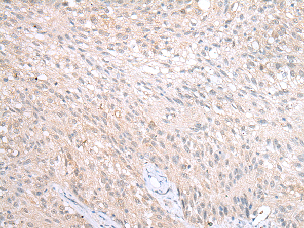
The image is immunohistochemistry of paraffin-embedded Human lung cancer tissue using P04259(ADIPOR1 Antibody) at dilution 1/20. (Original magnification: ×200) |
![]() |
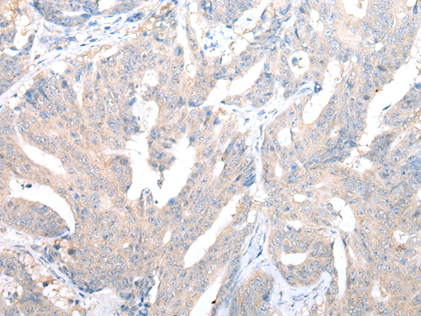
The image is immunohistochemistry of paraffin-embedded Human colorectal cancer tissue using P04259(ADIPOR1 Antibody) at dilution 1/20. (Original magnification: ×200) |
本公司的所有产品仅用于科学研究或者工业应用等非医疗目的,不可用于人类或动物的临床诊断或治疗,非药用,非食用。
暂无评论
本公司的所有产品仅用于科学研究或者工业应用等非医疗目的,不可用于人类或动物的临床诊断或治疗,非药用,非食用。
中文



发表回复