别名:PAQR2; ACDCR2应用:IHC
反应种属:Human, Mouse
规格:50μl/100μl
| Description |
|---|
| The adiponectin receptors, ADIPOR1 (MIM 607945) and ADIPOR2, serve as receptors for globular and full-length adiponectin (MIM 605441) and mediate increased AMPK (see MIM 602739) and PPAR-alpha (PPARA; MIM 170998) ligand activities, as well as fatty acid oxidation and glucose uptake by adiponectin . |
| Specification | |
|---|---|
| Aliases | PAQR2; ACDCR2 |
| Swissprot | Q86V24 |
| Host/Isotype | Rabbit IgG |
| Storage | Store at 4°C short term. Aliquot and store at -20°C long term. Avoid freeze/thaw cycles. |
| Species Reactivity | Human, Mouse |
| Immunogen | Synthetic peptide of human ADIPOR2 |
| Formulation | pH7.4 PBS, 0.05% NaN3, 40% Glycerol |
| Application | |
|---|---|
| IHC | 1/25-1/100 |
| ELISA | 1/2000-1/5000 |
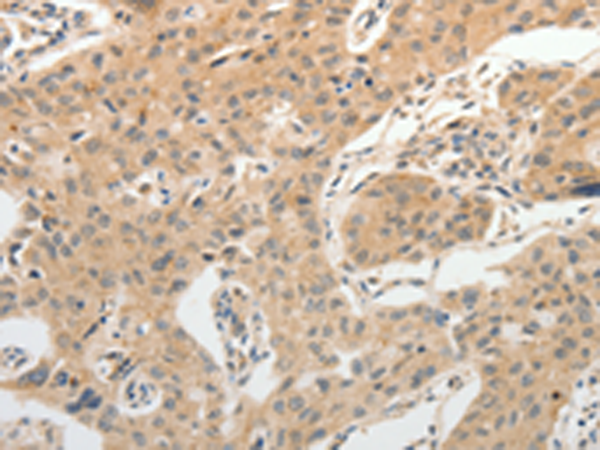
![]() |
The image is immunohistochemistry of paraffin-embedded Human liver cancer tissue using P11170(ADIPOR2 Antibody) at dilution 1/20. (Original magnification: ×200) |
![]() |
The image is immunohistochemistry of paraffin-embedded Human lung cancer tissue using P11170(ADIPOR2 Antibody) at dilution 1/20. (Original magnification: ×200) |
本公司的所有产品仅用于科学研究或者工业应用等非医疗目的,不可用于人类或动物的临床诊断或治疗,非药用,非食用。
暂无评论
本公司的所有产品仅用于科学研究或者工业应用等非医疗目的,不可用于人类或动物的临床诊断或治疗,非药用,非食用。
中文


发表回复