别名:AM应用:IHC
反应种属:Human
规格:50μl/100μl
| Description |
|---|
| Adrenomedullin, a hypotensive peptide found in human pheochromocytoma, consists of 52 amino acids, has 1 intramolecular disulfide bond, and shows a slight homology with the calcitonin gene-related peptide. It may function as a hormone in circulation control because it is found in blood in a considerable concentration. The precursor, called preproadrenomedullin, is 185 amino acids long. By RNA-blot analysis, human adrenomedullin mRNA was found to be highly expressed in several tissues. Genomic ADM DNA consists of 4 exons and 3 introns, with the 5-prime flanking region containing TATA, CAAT, and GC boxes. There are also multiple binding sites for activator protein-2 and a cAMP-regulated enhancer element. |
| Specification | |
|---|---|
| Aliases | AM |
| Swissprot | P35318 |
| Host/Isotype | Rabbit IgG |
| Storage | Store at 4°C short term. Aliquot and store at -20°C long term. Avoid freeze/thaw cycles. |
| Species Reactivity | Human |
| Immunogen | Synthetic peptide of human ADM |
| Formulation | pH7.4 PBS, 0.05% NaN3, 40% Glycerol |
| Application | |
|---|---|
| IHC | 1/25-1/100 |
| ELISA | 1/2000-1/5000 |
![]() |
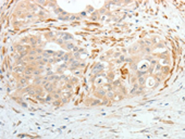
The image is immunohistochemistry of paraffin-embedded Human breast cancer tissue using P04261(ADM Antibody) at dilution 1/20. (Original magnification: ×200) |
![]() |
The image is immunohistochemistry of paraffin-embedded Human cervical cancer tissue using P04261(ADM Antibody) at dilution 1/20. (Original magnification: ×200) |
本公司的所有产品仅用于科学研究或者工业应用等非医疗目的,不可用于人类或动物的临床诊断或治疗,非药用,非食用。
暂无评论
本公司的所有产品仅用于科学研究或者工业应用等非医疗目的,不可用于人类或动物的临床诊断或治疗,非药用,非食用。
中文


发表回复