别名:A3AR应用:WB,IHC
反应种属:Human, Mouse
规格:50μl/100μl
| Description |
|---|
| This gene encodes a protein that belongs to the family of adenosine receptors, which are G-protein-coupled receptors that are involved in a variety of intracellular signaling pathways and physiological functions. The receptor encoded by this gene mediates a sustained cardioprotective function during cardiac ischemia, it is involved in the inhibition of neutrophil degranulation in neutrophil-mediated tissue injury, it has been implicated in both neuroprotective and neurodegenerative effects, and it may also mediate both cell proliferation and cell death. Alternative splicing results in multiple transcript variants. This gene shares its 5′ terminal exon with some transcripts from overlapping GeneID:57413, which encodes an immunoglobulin domain-containing protein. |
| Specification | |
|---|---|
| Aliases | A3AR |
| Swissprot | P0DMS8 |
| WB Predicted band size | 36 kDa |
| Host/Isotype | Rabbit IgG |
| Storage | Store at 4°C short term. Aliquot and store at -20°C long term. Avoid freeze/thaw cycles. |
| Species Reactivity | Human, Mouse |
| Immunogen | Fusion protein of human ADORA3 |
| Formulation | pH7.4 PBS, 0.05% NaN3, 40% Glycerol |
| Application | |
|---|---|
| WB | 1/500-1/2000 |
| IHC | 1/50-1/200 |
| ELISA | 1/5000-1/10000 |
![]() |
Gel: 8%SDS-PAGE, Lysate: 40 μg, Lane: Mouse liver tissue lysate, Primary antibody: P07067(ADORA3 Antibody) at dilution 1/550, Secondary antibody: Goat anti rabbit IgG at 1/5000 dilution, Exposure time: 3 seconds |
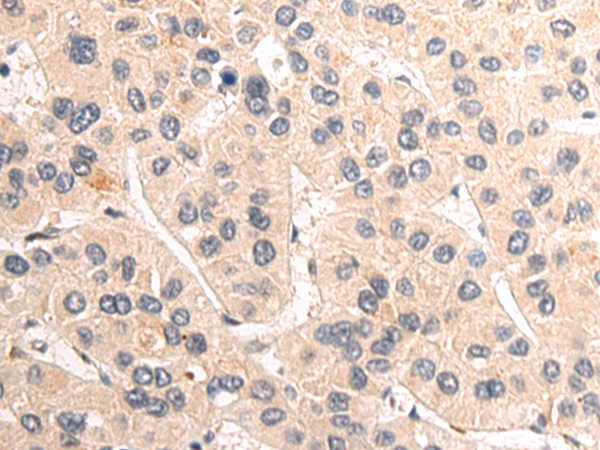
![]() |
The image is immunohistochemistry of paraffin-embedded Human liver cancer tissue using P07067(ADORA3 Antibody) at dilution 1/95. (Original magnification: ×200) |
本公司的所有产品仅用于科学研究或者工业应用等非医疗目的,不可用于人类或动物的临床诊断或治疗,非药用,非食用。
暂无评论
本公司的所有产品仅用于科学研究或者工业应用等非医疗目的,不可用于人类或动物的临床诊断或治疗,非药用,非食用。
中文


发表回复