别名:BETA3AR应用:WB,IHC
反应种属:Human, Mouse
规格:50μl/100μl
| Description |
|---|
| The protein encoded by this gene belongs to the family of beta adrenergic receptors, which mediate catecholamine-induced activation of adenylate cyclase through the action of G proteins. This receptor is located mainly in the adipose tissue and is involved in the regulation of lipolysis and thermogenesis. |
| Specification | |
|---|---|
| Aliases | BETA3AR |
| Swissprot | P13945 |
| WB Predicted band size | 44 kDa |
| Host/Isotype | Rabbit IgG |
| Storage | Store at 4°C short term. Aliquot and store at -20°C long term. Avoid freeze/thaw cycles. |
| Species Reactivity | Human, Mouse |
| Immunogen | Synthetic peptide of human ADRB3 |
| Formulation | pH7.4 PBS, 0.05% NaN3, 40% Glycerol |
| Application | |
|---|---|
| WB | 1/200-1/1000 |
| IHC | 1/10-1/50 |
| ELISA | 1/1000-1/2000 |
![]() |
Gel: 8%SDS-PAGE, Lysate: 40 μg, Lane: Mouse brain tissue, Primary antibody: P05094(ADRB3 Antibody) at dilution 1/200, Secondary antibody: Goat anti rabbit IgG at 1/8000 dilution, Exposure time: 2 minutes |
![]() |
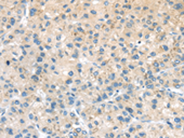
The image is immunohistochemistry of paraffin-embedded Human liver cancer tissue using P05094(ADRB3 Antibody) at dilution 1/20. (Original magnification: ×200) |
![]() |
The image is immunohistochemistry of paraffin-embedded Human brain tissue using P05094(ADRB3 Antibody) at dilution 1/20. (Original magnification: ×200) |
本公司的所有产品仅用于科学研究或者工业应用等非医疗目的,不可用于人类或动物的临床诊断或治疗,非药用,非食用。
暂无评论
本公司的所有产品仅用于科学研究或者工业应用等非医疗目的,不可用于人类或动物的临床诊断或治疗,非药用,非食用。
中文



发表回复