别名:FMR2; MRX2; OX19; FMR2P; FRAXE应用:WB,IHC
反应种属:Human, Mouse
规格:50μl/100μl
| Description |
|---|
| This gene encodes a putative transcriptional activator that is a member of the AF4\FMR2 gene family. This gene is associated with the folate-sensitive fragile X E locus on chromosome X. A repeat polymorphism in the fragile X E locus results in silencing of this gene causing Fragile X E syndrome. Fragile X E syndrome is a form of nonsyndromic X-linked mental retardation. Alternate splicing results in multiple transcript variants. |
| Specification | |
|---|---|
| Aliases | FMR2; MRX2; OX19; FMR2P; FRAXE |
| Swissprot | P51816 |
| WB Predicted band size | 145 kDa |
| Host/Isotype | Rabbit IgG |
| Storage | Store at 4°C short term. Aliquot and store at -20°C long term. Avoid freeze/thaw cycles. |
| Species Reactivity | Human, Mouse |
| Immunogen | Synthetic peptide of human AFF2 |
| Formulation | pH7.4 PBS, 0.05% NaN3, 40% Glycerol |
| Application | |
|---|---|
| WB | 1/200-1/1000 |
| IHC | 1/25-1/100 |
| ELISA | 1/1000-1/2000 |
![]() |
Gel: 8%SDS-PAGE, Lysate: 40 μg, Lane: Human fetal lung tissue, Primary antibody: P04262(AFF2 Antibody) at dilution 1/400, Secondary antibody: Goat anti rabbit IgG at 1/8000 dilution, Exposure time: 1 minute |
![]() |
The image is immunohistochemistry of paraffin-embedded Human liver cancer tissue using P04262(AFF2 Antibody) at dilution 1/25. (Original magnification: ×200) |
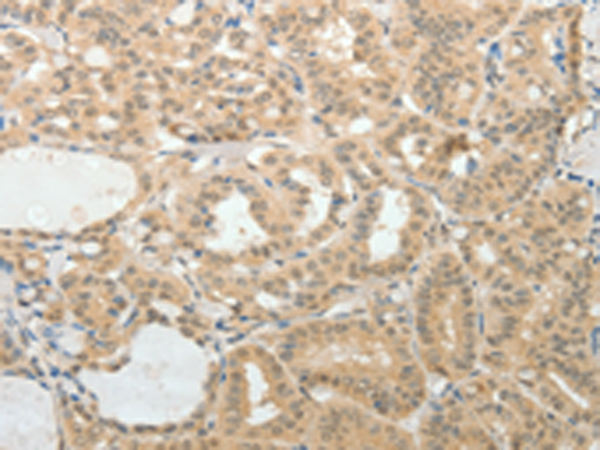
![]() |
The image is immunohistochemistry of paraffin-embedded Human thyroid cancer tissue using P04262(AFF2 Antibody) at dilution 1/25. (Original magnification: ×200) |
本公司的所有产品仅用于科学研究或者工业应用等非医疗目的,不可用于人类或动物的临床诊断或治疗,非药用,非食用。
暂无评论
本公司的所有产品仅用于科学研究或者工业应用等非医疗目的,不可用于人类或动物的临床诊断或治疗,非药用,非食用。
中文



发表回复