别名:CRAG; AGAP-3; CENTG3; MRIP-1; cnt-g3应用:IHC
反应种属:Human, Mouse
规格:50μl/100μl
| Description |
|---|
| This gene encodes an essential component of the N-methyl-D-aspartate (NMDA) receptor signaling complex which mediates long-term potentiation in synapses by linking activation of NMDA receptor to alpha-amino-3-hydroxy-5-methyl-4-isoxazolepropionic acid (AMPA) receptor trafficking. The encoded protein contains an N-terminal GTPase-like domain, a pleckstrin homology domain, an ArfGAP domain and several C-terminal ankryn repeat domains. |
| Specification | |
|---|---|
| Aliases | CRAG; AGAP-3; CENTG3; MRIP-1; cnt-g3 |
| Swissprot | Q96P47 |
| Host/Isotype | Rabbit IgG |
| Storage | Store at 4°C short term. Aliquot and store at -20°C long term. Avoid freeze/thaw cycles. |
| Species Reactivity | Human, Mouse |
| Immunogen | Synthetic peptide of human AGAP3 |
| Formulation | pH7.4 PBS, 0.05% NaN3, 40% Glycerol |
| Application | |
|---|---|
| IHC | 1/50-1/100 |
| ELISA | 1/5000-1/10000 |
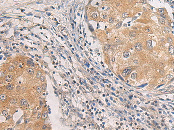
![]() |
The image is immunohistochemistry of paraffin-embedded Human thyroid cancer tissue using P13064(AGAP3 Antibody) at dilution 1/25. (Original magnification: ×200) |
![]() |
The image is immunohistochemistry of paraffin-embedded Human breast cancer tissue using P13064(AGAP3 Antibody) at dilution 1/25. (Original magnification: ×200) |
本公司的所有产品仅用于科学研究或者工业应用等非医疗目的,不可用于人类或动物的临床诊断或治疗,非药用,非食用。
暂无评论
本公司的所有产品仅用于科学研究或者工业应用等非医疗目的,不可用于人类或动物的临床诊断或治疗,非药用,非食用。
中文


发表回复