别名:Arf-GAP with GTPase, ANK repeat and PH domain-containing protein 8, AGAP-8, Centaurin-gamma-like family member 5, AGAP8, CTGLF5应用:WB,IHC,ICC,FCM
反应种属:Human
规格:50μl/100μl
| Description |
|---|
| Putative GTPase-activating protein (Potential). |
| Specification | |
|---|---|
| Aliases | Arf-GAP with GTPase, ANK repeat and PH domain-containing protein 8, AGAP-8, Centaurin-gamma-like family member 5, AGAP8, CTGLF5 |
| Swissprot | Q5SRD3 |
| Host/Isotype | Rabbit IgG |
| Storage | Store at 4°C short term. Aliquot and store at -20°C long term. Avoid freeze/thaw cycles. |
| Species Reactivity | Human |
| Immunogen | This AGAP8 antibody is generated from a rabbit immunized with a KLH conjugated synthetic peptide between 498-531 amino acids from the C-terminal region of human AGAP8. |
| Application | |
|---|---|
| WB | 1/1000 |
| IHC | 1/100-1/500 |
| ICC | 1/25 |
| FCM | 1/25 |
![]() |
Western blot analysis of lysate from HT-1080 cell line, using AGAP8 Antibody (C-term)(Cat. # P32627). P32627 was diluted at 1:1000. A goat anti-rabbit IgG H&L(HRP) at 1:5000 dilution was used as the secondary antibody. Lysate at 35ug. |
![]() |
Fluorescent image of HeLa cells stained with AGAP8 Antibody (C-term)(Cat#P32627). P32627 was diluted at 1:25 dilution. An Alexa Fluor 488-conjugated goat anti-rabbit lgG at 1:400 dilution was used as the secondary antibody (green). Cytoplasmic actin was counterstained with Alexa Fluor® 555 conjugated with Phalloidin (red). |
![]() |
Flow cytometric analysis of MCF-7 cells using AGAP8 Antibody (C-term)(green, Cat#P32627) compared to an isotype control of rabbit IgG(blue). P32627 was diluted at 1:25 dilution. An Alexa Fluor® 488 goat anti-rabbit lgG at 1:400 dilution was used as the secondary antibody. |
![]() |
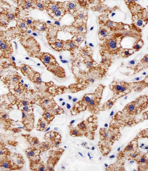
Immunohistochemical analysis of paraffin-embedded H. liver section using AGAP8 Antibody (C-term)(Cat#P32627). P32627 was diluted at 1:25 dilution. A peroxidase-conjugated goat anti-rabbit IgG at 1:400 dilution was used as the secondary antibody, followed by DAB staining. |
![]() |
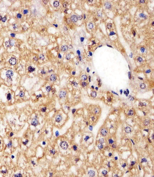
Immunohistochemical analysis of paraffin-embedded M. liver section using AGAP8 Antibody (C-term)(Cat#P32627). P32627 was diluted at 1:25 dilution. A peroxidase-conjugated goat anti-rabbit IgG at 1:400 dilution was used as the secondary antibody, followed by DAB staining. |
本公司的所有产品仅用于科学研究或者工业应用等非医疗目的,不可用于人类或动物的临床诊断或治疗,非药用,非食用。
暂无评论
本公司的所有产品仅用于科学研究或者工业应用等非医疗目的,不可用于人类或动物的临床诊断或治疗,非药用,非食用。
中文





发表回复