别名:ELYS; MST108; TMBS62; MSTP108应用:IHC
反应种属:Human, Mouse
规格:50μl/100μl
| Description |
|---|
| Required for the assembly of a functional nuclear pore complex (NPC) on the surface of chromosomes as nuclei form at the end of mitosis. May initiate NPC assembly by binding to chromatin and recruiting the Nup107-160 subcomplex of the NPC. Also required for the localization of the Nup107-160 subcomplex of the NPC to the kinetochore during mitosis and for the completion of cytokinesis. |
| Specification | |
|---|---|
| Aliases | ELYS; MST108; TMBS62; MSTP108 |
| Swissprot | Q8WYP5 |
| Host/Isotype | Rabbit IgG |
| Storage | Store at 4°C short term. Aliquot and store at -20°C long term. Avoid freeze/thaw cycles. |
| Species Reactivity | Human, Mouse |
| Immunogen | Synthetic peptide of human AHCTF1 |
| Formulation | pH7.4 PBS, 0.05% NaN3, 40% Glycerol |
| Application | |
|---|---|
| IHC | 1/25-1/100 |
| ELISA | 1/5000-1/10000 |
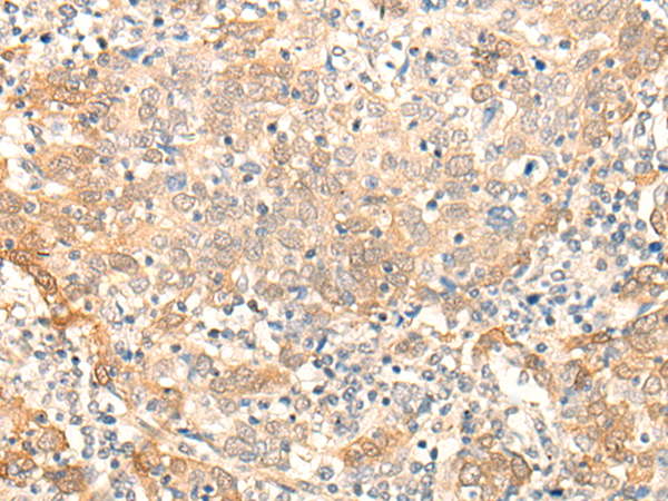
![]() |
The image is immunohistochemistry of paraffin-embedded Human ovarian cancer tissue using P13313(AHCTF1 Antibody) at dilution 1/20. (Original magnification: ×200) |
![]() |
The image is immunohistochemistry of paraffin-embedded Human cervical cancer tissue using P13313(AHCTF1 Antibody) at dilution 1/20. (Original magnification: ×200) |
本公司的所有产品仅用于科学研究或者工业应用等非医疗目的,不可用于人类或动物的临床诊断或治疗,非药用,非食用。
暂无评论
本公司的所有产品仅用于科学研究或者工业应用等非医疗目的,不可用于人类或动物的临床诊断或治疗,非药用,非食用。
中文


发表回复