别名:Aurora kinase A, Aurora 2, Aurora/IPL1-related kinase 1, ARK-1, Aurora-related kinase 1, hARK1, Breast tumor-amplified kinase, Serine/threonine-protein kinase 15, Serine/threonine-protein kinase 6, Serine/threonine-protein kinase aurora-A, AURKA应用:WB,IHC
反应种属:Human
规格:50μl/100μl
| Description |
|---|
| Aurora A (AIK) plays a role in cell cycle regulation during anaphase and/or telophase, in relation to the function of the centrosome/spindle pole region during chromosome segregation. Aurora A plays a key role during tumor development and progression and is overexpressed in many human cancers including breast, ovarian and colorectal. Aurora A is viewed as a potential target for anticancer drug treatment. |
| Specification | |
|---|---|
| Aliases | Aurora kinase A, Aurora 2, Aurora/IPL1-related kinase 1, ARK-1, Aurora-related kinase 1, hARK1, Breast tumor-amplified kinase, Serine/threonine-protein kinase 15, Serine/threonine-protein kinase 6, Serine/threonine-protein kinase aurora-A, AURKA |
| Entrez GeneID | 6790 |
| Swissprot | O14965 |
| WB Predicted band size | 45.8kDa |
| Host/Isotype | Rabbit IgG |
| Storage | Store at 4°C short term. Aliquot and store at -20°C long term. Avoid freeze/thaw cycles. |
| Species Reactivity | Human |
| Immunogen | This AIK antibody is generated from rabbits immunized with a KLH conjugated synthetic peptide between 90-120 amino acids from the N-terminal region of human AIK. |
| Formulation | Purified polyclonal antibody supplied in PBS with 0.05% sodium azide. This antibody is purified through a protein G column, eluted with high and low pH buffers and neutralized immediately, followed by dialysis against PBS. |
| Application | |
|---|---|
| WB | 1/1000 |
| IHC | 1/100-1/500 |
![]() |
Western blot analysis of AIK (arrow) using rabbit polyclonal hAIK-H105 (Cat. #P30026). 293 cell lysates (2 ug/lane) either nontransfected (Lane 1) or transiently transfected with the AIK gene (Lane 2) (Origene Technologies). |
![]() |
Formalin-fixed and paraffin-embedded human cancer tissue reacted with the primary antibody, which was peroxidase-conjugated to the secondary antibody, followed by DAB staining. This data demonstrates the use of this antibody for immunohistochemistry; clinical relevance has not been evaluated. BC = breast carcinoma; HC = hepatocarcinoma. |
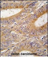
![]() |
Formalin-fixed and paraffin-embedded human colon carcinoma tissue reacted with AIK antibody (N-term) (Cat.#P30026), which was peroxidase-conjugated to the secondary antibody, followed by DAB staining. This data demonstrates the use of this antibody for immunohistochemistry; clinical relevance has not been evaluated. |
本公司的所有产品仅用于科学研究或者工业应用等非医疗目的,不可用于人类或动物的临床诊断或治疗,非药用,非食用。
暂无评论
本公司的所有产品仅用于科学研究或者工业应用等非医疗目的,不可用于人类或动物的临床诊断或治疗,非药用,非食用。
中文



发表回复