别名:P38; JTV1; JTV-1; PRO0992应用:WB,IHC
反应种属:Human, Mouse, Rat
规格:50μl/100μl
| Description |
|---|
| The JTV1 gene is located on chromosome 7p22 flanked by two genes, HRI and PMS2. JTV1 and HRI overlap slightly and are arranged in a tail-to-tail fashion. JTV1 and PMS2 are separated by approximately 200 base pairs and are arranged head-to-head. JTV1 is transcribed in the opposite direction compared to HRI and PMS2. The function of the JTV1 gene product is unknown. |
| Specification | |
|---|---|
| Aliases | P38; JTV1; JTV-1; PRO0992 |
| Swissprot | Q13155 |
| WB Predicted band size | 35 kDa |
| Host/Isotype | Rabbit IgG |
| Storage | Store at 4°C short term. Aliquot and store at -20°C long term. Avoid freeze/thaw cycles. |
| Species Reactivity | Human, Mouse, Rat |
| Immunogen | Synthetic peptide of human AIMP2 |
| Formulation | pH7.4 PBS, 0.05% NaN3, 40% Glycerol |
| Application | |
|---|---|
| WB | 1/200-1/1000 |
| IHC | 1/25-1/100 |
| ELISA | 1/1000-1/2000 |
![]() |
Gel: 12%SDS-PAGE, Lysate: 40 μg, Lane 1-2: A549 cells, NIH/3T3 cells, Primary antibody: P11234(AIMP2 Antibody) at dilution 1/200, Secondary antibody: Goat anti rabbit IgG at 1/8000 dilution, Exposure time: 10 seconds |
![]() |
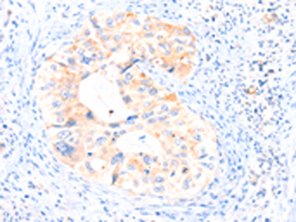
The image is immunohistochemistry of paraffin-embedded Human liver cancer tissue using P11234(AIMP2 Antibody) at dilution 1/25. (Original magnification: ×200) |
![]() |
The image is immunohistochemistry of paraffin-embedded Human cervical cancer tissue using P11234(AIMP2 Antibody) at dilution 1/25. (Original magnification: ×200) |
本公司的所有产品仅用于科学研究或者工业应用等非医疗目的,不可用于人类或动物的临床诊断或治疗,非药用,非食用。
暂无评论
本公司的所有产品仅用于科学研究或者工业应用等非医疗目的,不可用于人类或动物的临床诊断或治疗,非药用,非食用。
中文



发表回复